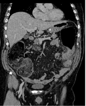
Vous êtes de garde aux urgences et vous recevez Mme J., 67 ans, qui consulte car elle vomit sans arrêt depuis 48 heures. Elle ne peut plus s’alimenter, pas même boire un verre d’eau. Elle vous dit avoir le ventre gonflé, douloureux et n’avoir pas été à la selle depuis 24 heures.
Elle n’a pas d’antécédent familial ni personnel. Elle prend occasionnellement du paracétamol en cas de douleurs et fume 3 cigarettes par jour.
Ses constantes sont les suivantes : pression artérielle = 159/86 mmHg ; fréquence cardiaque = 100 battements par minute ; température (T°) = 37,3 °C ; saturation en oxygène = 96 % en air ambiant.
Elle n’a pas d’antécédent familial ni personnel. Elle prend occasionnellement du paracétamol en cas de douleurs et fume 3 cigarettes par jour.
Ses constantes sont les suivantes : pression artérielle = 159/86 mmHg ; fréquence cardiaque = 100 battements par minute ; température (T°) = 37,3 °C ; saturation en oxygène = 96 % en air ambiant.
Question 1 - Devant ce tableau, quel(s) signe(s) clinique(s) viendraient conforter votre hypothèse diagnostique principale ?
Le météorisme abdominal est un ballonnement abdominal lié à un excès de gaz dans la lumière intestinale.
Une contracture abdominale survient lors d’une inflammation du péritoine, aussi appelée péritonite, qui peut être primaire ou secondaire. Elle est due à une contraction des muscles de la paroi abdominale. On appelle aussi cela le « ventre de bois ».
À la percussion, on peut distinguer soit une matité, soit un tympanisme. Une matité abdominale est présente lorsqu’il y a du liquide dans le ventre (comme de l’ascite). Elle est le plus souvent déclive en raison de la gravité. Un tympanisme survient quand il y a un excès d’air dans le système digestif.
Le signe de Murphy correspond à une douleur à la palpation de l’hypochondre droit. Il traduit le plus souvent une cholécystite.
Physiologiquement, les intestins se contractent continuellement, ce qui se traduit par des bruits hydro-aériques qu’on entend au stéthoscope. Quand il y a une diminution de la contraction intestinale pour n’importe quelle raison, les bruits hydro-aériques diminuent et peuvent même être abolis.


On s’attend dans ce cas à avoir cliniquement :
– une distension ou un météorisme abdominal, qui traduit l’impossibilité d’évacuer l’air ;
– un tympanisme à la percussion ;
– une abolition des bruits hydro-aériques car les intestins ne se contractent plus ;
– parfois une défense ou une contracture, lorsque le tableau clinique est avancé.