Une patiente de 24 ans, secrétaire médicale, se présente pour l’apparition d’une gêne visuelle de l’œil gauche qui évolue depuis quelques heures. Elle a ressenti, alors qu’elle conduisait, une baisse d’acuité visuelle (BAV) avec apparition d’une tache noire centrale, dit-elle.
À l’examen, son œil est blanc, non douloureux en position neutre, mais à la mobilisation apparaît une sensation de tension péri-orbitaire. Vous ne constatez pas de trouble de l’oculomotricité et les réflexes pupillaires sont normaux. Vous constatez une pseudo-dilatation de la pupille à l’éclairage de l’œil gauche après simulation lumineuse de l’œil droit dans la pénombre.
Elle n’a pas d’antécédent particulier notamment neurologique. Elle fume 5 cigarettes par jour depuis l’âge de 16 ans. Elle prend une contraception hormonale orale.
À l’examen, son œil est blanc, non douloureux en position neutre, mais à la mobilisation apparaît une sensation de tension péri-orbitaire. Vous ne constatez pas de trouble de l’oculomotricité et les réflexes pupillaires sont normaux. Vous constatez une pseudo-dilatation de la pupille à l’éclairage de l’œil gauche après simulation lumineuse de l’œil droit dans la pénombre.
Elle n’a pas d’antécédent particulier notamment neurologique. Elle fume 5 cigarettes par jour depuis l’âge de 16 ans. Elle prend une contraception hormonale orale.
Question 1 - Le tableau clinique vous évoque :
Œil rouge souvent douloureux (position neutre et à la mobilisation) +/- BAV, larmoiement, photophobie, blépharospasme.
Œil rouge souvent douloureux en myosis cercle périkératique, phénomène de Tyndall.
Jeune femme avec BAV unilatérale d’installation rapide + douleur à la mobilisation de l’œil + déficit pupillaire afférent relatif homolatéral. Évoquer une NORB.
Œil blanc, très douloureux, tendu, avec semi-mydriase aréflexique avec BAV importante.
BAV brutale souvent précédée d’une amaurose fugace, indolore ; diminution du réflexe photomoteur direct.




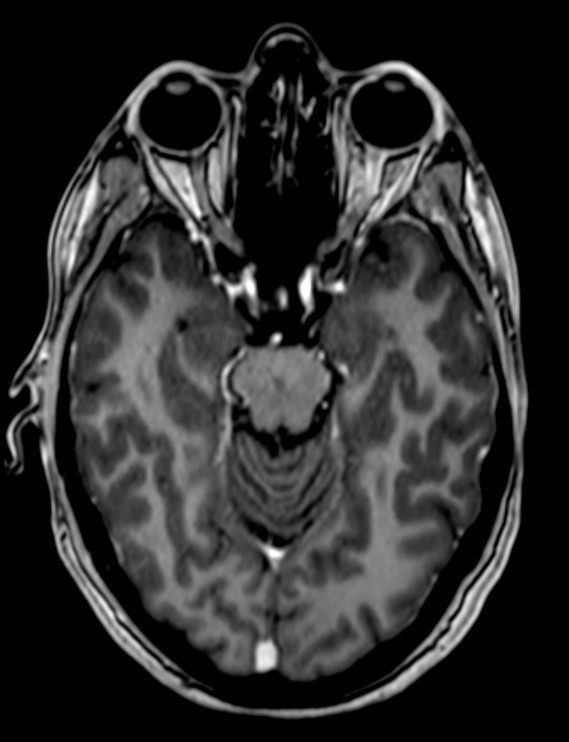
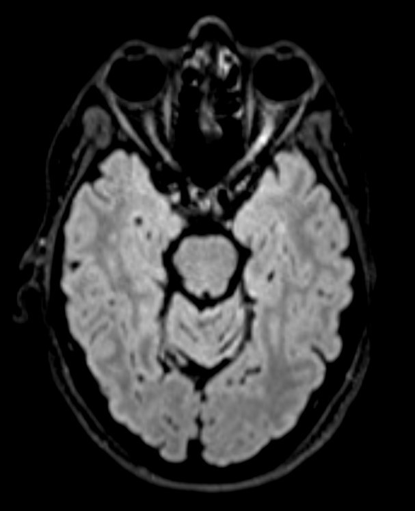
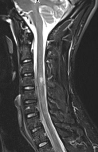
Dissémination spatiale : plusieurs territoires atteints cliniquement, au moins deux territoires atteints en IRM parmi : le territoire périventriculaire, le trajet des nerfs optiques, la région sous/juxta- et intracorticale, la fosse postérieure, la moelle épinière. Particularité des nouveaux critères : prendre en compte les lésions de la fosse postérieure et de la moelle symptomatiques.
Dissémination temporelle : plusieurs poussées cliniques dans le temps, apparition de nouvelles lésions entre les IRM, ou certaines lésions prennent le contraste et pas d’autres sur une même IRM, ou apparition d’une synthèse intrathécale dans le LCS.