Vous recevez aux urgences M. H., 58 ans, amené par son épouse pour confusion aiguë. Elle vous apprend que, depuis ce matin, son état s’est progressivement aggravé jusqu’à ce qu’il devienne assez incohérent. Ses antécédents sont marqués par une néphrectomie droite lors d’un accident de la voie publique durant l’adolescence, une appendicectomie. Il présente un tabagisme actif estimé à 18 paquets/années et boit 1 à 3 verres d’alcool par jour.
Les constantes à l’entrée sont : tension artérielle = 110/35 mmHg ; fréquence cardiaque =108 bpm ; température = 37,3 °C.
Un premier bilan biologique vous est communiqué : hémoglobinémie = 10,8 g/dL ; leucocytes = 10 G/L ; créatininémie : 495μmol/L ; kaliémie = 6,6 mmol/L.
Question 1. Quels signes de gravité recherchez-vous ?
Le premier réflexe face à une hyperkaliémie aiguë est de rechercher des signes de gravité qui sont :
– neuromusculaires : paresthésie des extrémités, de la langue et de la région péribuccale ; diminution de la sensibilité profonde et faiblesse neuromusculaire ;
– à ECG : ondes T amples et pointues, symétriques, diffuses ; allongement de l’espace PR ; élargissement des QRS.
Votre examen neurologique est normal hormis une confusion modérée. L’ECG est normal. Vous posez une sonde à demeure qui ramène 15 cc d’urines hématuriques.
Question 2. Quels sont les premiers éléments de votre prise en charge ?
Pour l’instant, le patient est oligo-anurique mais son état d’hydratation n’est pas connu et une hydratation ne peut être mise en place avant d’avoir éliminé une rétention hydrosodée ou une cause obstructive. Les sels de calcium sont indiqués en cas de signes de gravité ECG ou cliniques de l’hyperkaliémie. Au-delà de 20 UI d’insuline, l’effet maximum hypokaliémiant de l’insuline est atteint. Le traitement peut être réitéré toutes les 2 à 4 heures.
L’urgence est bien évidemment une imagerie rénale. Celle-ci peut être soit une échographie, soit un scanner sans injection (ce qui n’est pas le cas de l’uroscanner). L’uro-IRM n’est pas en soi une mauvaise réponse mais est inadaptée dans le contexte d’urgence ici. La recherche d’une surcharge pulmonaire par une radiographie de thorax est tout à fait justifiée dans ce contexte d’insuffisance rénale aiguë.
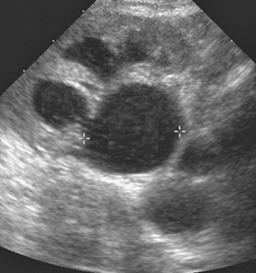
Vous hospitalisez le patient et mettez en place un monitoring cardio-tensionnel et un traitement associant insuline-glucose par voie intraveineuse (IV) et bêta-2 mimétique en aérosol. Vous réalisez une échographie qui retrouve une dilatation pyélocalicielle du rein gauche (image ci-contre), ainsi qu’une radiographie de thorax qui retrouve une surcharge modérée. La biologie de contrôle retrouve une kaliémie à 4,7 mmol/L et une créatininémie à 627 μmol/L.
Question 4. Votre prise en charge à ce stade est la suivante :
En l’absence d’hyperkaliémie menaçante et d’œdème aigu pulmonaire, la dialyse n’est pas indiquée en urgence. L’urgence absolue est ici médico-chirurgicale et doit consister en la dérivation des urines, soit par sonde JJ soit par néphrostomie.
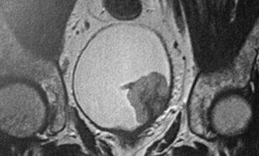
Le patient a une pose de néphrostomie gauche en urgence sous sédation et analgésie multimodale. Le patient n’est plus confus et vous rapporte la survenue ces derniers temps d’urine hématurique. La fonction rénale ne récupère que partiellement et vous complétez donc le bilan par une uro-IRM. Vous retrouvez un aspect de tumeur vésicale.
Question 5. Quelle prise en charge pouvez-vous proposer à ce stade ?
Deux attitudes se discutent ici : une chirurgie pour résection de vessie d’emblée ou une cystoscopie pour confirmation de l’aspect endoscopique avant prise en charge opératoire. Dans les deux cas, un ECBU est nécessaire. La sensibilité de l’IRM (+/- 95 %) permet de proposer une chirurgie d’emblée. Dans tous les cas, la cystoscopie n’est jamais accompagnée de biopsie de la tumeur. La preuve anatomopathologique du cancer n’est pas faite et la RCP est prématurée.
Vous réalisez une cytologie urinaire pour analyse anatomopathologique. Celle-ci retrouve la présence de cellules correspondant à du carcinome urothélial de haut grade.
Question 6. Comment interprétez-vous ce résultat ?
Une cytologie urinaire positive indique une tumeur de l’arbre urinaire, vésicale mais aussi urétérale ou pyélique. La cytologie urinaire est un des examens de référence pour la détection et la surveillance des tumeurs de la vessie n’infiltrant pas le muscle (TVNIM), notamment de haut grade. Elle a une sensibilité élevée pour la détection des tumeurs de haut grade (et plus de 90 % pour le CIS). Sa sensibilité et moins bonne pour les tumeurs de bas grade et sa spécificité est mauvaise. Elle a donc une faible valeur prédictive négative (VPN) et sa négativité ne doit pas ainsi modifier la prise en charge.
Vous réalisez une résection transurétrale de vessie (RTUV) avec luminofluorescence par hexaminolévulinate sous rachi-anesthésie. L’ECBU préopératoire était stérile et la cytologie urinaire a retrouvé la présence de cellules de carcinome urothélial de haut grade. L’analyse anatomopathologique de la résection de vessie retrouve une tumeur unique de 4 cm, composée d’un carcinome urothélial infiltrant le chorion, épargnant le muscle, avec présence de CIS.
Question 7. Quelle est votre attitude thérapeutique ?
Il s’agit d’une TVNIM de très haut risque puisque pT1 de haut grade > 3 cm et présence de CIS. Dans ce cas et d’autant plus chez un patient jeune, une cystectomie peut être indiquée et doit être discutée avec le patient. La prise en charge consiste sinon en une RTUV de réévaluation suivie d’instillation de BCG en cas de pT inférieur ou égal à 1 de bas grade.
Les instillations de chimiothérapie endovésicales (mitomycine C) sont à réserver aux TVNIM de risque intermédiaire.
Vous réalisez une RTUV de réévaluation à 3 semaines et l’analyse anatomopathologique de la pièce retrouve un carcinome urothélial de vessie de haut grade infiltrant le muscle (TVIM).
Question 8. Votre bilan d’extension comporte les éléments suivants :
Le bilan d’extension des TVIM repose sur le couple uro-TDM et TDM thoracique. Une IRM pelvienne multiparamétrique est une alternative à l’uro-TDM lorsque la fonction rénale ne le permet pas. Scanner cérébral et scintigraphie osseuse sont réalisés uniquement en cas de point d’appel clinique. La TEP-TDM n’a pas démontré de supériorité par rapport à l’imagerie conventionnelle et n’est pas recommandée en pratique.
Le scanner thoracique ne retrouve pas de lésions à distance et l’IRM pelvienne multiparamétrique ne retrouve pas d’adénopathies suspectes.
Question 9.Vos options thérapeutiques sont les suivantes :
Il s’agit d’une TVIM localisée a priori T2N0M0. Le traitement de référence est donc une chimiothérapie néoadjuvante à base de sels de platine avant cystoprostatectomie dans les 3 mois associée à un curage pelvien étendu. L’inclusion dans un protocole de réhabilitation améliorée après chirurgie (RAAC) est recommandée (niveau de preuve 2).
M. H. n’a bénéficié que de deux séances de chimiothérapie, non poursuivie en raison d’un débit de filtration glomérulaire (DFG) abaissé à moins de 50 mL/min. Il est opéré un mois plus tard d’une cystoprostatectomie radicale avec curage pelvien étendu. L’analyse de la pièce opératoire retrouve un carcinome urothélial infiltrant le muscle, sans embols vasculaires. L’analyse du curage retrouve 21 ganglions non envahis. Classification finale ypT2N0. La dérivation urinaire choisie est une urétérostomie gauche cutanée transiléale de type Bricker.
Question 10. Quels doivent être les éléments de votre surveillance ?
La surveillance après cystectomie d’une TVIM pT2 doit comporter une uro-TDM/uro-IRM couplée à un scanner thoracique, ainsi qu’une surveillance biologique (ionogramme sanguin, NFS, créatininémie) à 3 et 6 mois, puis tous les 6 mois pendant 2 ans. En cas d’urètre en place, une urétroscopie annuelle est recommandée tous les ans pendant 5 ans.
Les premiers scanners à 3 et 6 mois ne retrouvent pas d’évolution de la maladie. M. H. reconsulte aux urgences plus d’un an après sa chirurgie pour une douleur lombaire gauche associée à de la fièvre évoluant depuis la veille. Les constantes hémodynamiques sont normales et M. H. n’est pas confus mais fort asthénique. Vous suspectez une pyélonéphrite aiguë gauche et M. H. vous rapporte avoir été hospitalisé et traité pour un épisode identique dans un hôpital plus proche de chez lui 2 mois auparavant. Vous demandez un ECBU qui retrouve de nombreux germes à l’examen direct.
Vous faites également réaliser un scanner abdomino-pelvien sans injection qui retrouve une dilatation urétéro-pyélo-calicielle gauche.
Question 11. Quelle est votre prise en charge ?
Il s’agit d’une pyélonéphrite aiguë grave qui nécessite une hospitalisation. M. H présente un facteur de risque d’infection à Escherichia coli productrices de bêtalactamases à spectre élargi (BLSE) : hospitalisation datant de moins de 3 mois, probablement associée à un traitement antibiotique par C3G ce qui serait un second facteur de risque. L’antibiothérapie doit alors comporter carbapénème et amikacine. L’amikacine n’est pas contre-indiquée en cas d’insuffisance rénale, la première injection doit être réalisée normalement selon le poids. Il a cependant une toxicité rénale et la seconde injection doit être réalisée selon le dosage du creux d’amikacine.
M. H. est donc traitée par imipénème et Amiklin et une dérivation urinaire est réalisée en urgence par pose de néphrostomie. Vous retrouvez l’ECBU suivant
Question 12.Quelles sont les propositions exactes concernant votre prise en charge ?
Devant la découverte d’E. coli BLSE, des précautions complémentaires sont à prendre durant l’hospitalisation afin de limiter les risques de transmission croisée. La durée de traitement d’une pyélonéphrite aiguë grave est de 10 à 14 jours, et le relais antibiotique est fait dès que possible avec l’antibiotique au spectre le plus étroit possible.
L’évolution de la pyélonéphrite aiguë est favorable. On diagnostique une sténose de l’anastomose urétéro-iléale et M. H. porte une sonde mono J changée toutes les 4 semaines. Le suivi carcinologique est tout à fait rassurant sans aucune reprise évolutive du cancer. Cependant la fonction rénale déjà altérée de M. H. continue à se dégrader progressivement et atteint un DFG aux alentours de 20 mL/min.
Question 13. Quelles mesures mettez-vous en place ?
M. H. présente une insuffisance rénale chronique de stade 4. Il faut donc à ce stade mettre en place toutes les mesures de néphroprotection, de vaccination (grippe saisonnière et virus de l’hépatite B) et l’informer du traitement de suppléance. L’inscription sur la liste de transplantation rénale est discutée à partir du stade 5.
À 10 ans de la chirurgie de cystectomie, M. H. est actuellement en hémodialyse. Une contre-indication temporaire à la greffe avait été fixée à 10 ans de suivi sans évolution et est donc levée, vous envisagez alors la transplantation rénale. M. H. s’inquiète des modalités de la transplantation.
Question 14.Quelles informations lui donnez-vous ?
La préparation à la greffe du receveur doit s’assurer de la faisabilité de la greffe et de l’absence de foyer infectieux latent et de tumeur occulte. Un dépistage de cancer de prostate est donc réalisé par un toucher rectal et un dosage de PSA (inutile chez M. H. qui a été opéré d’une cystoprostatectomie !). Sur le plan chirurgical, l’état vasculaire est évalué par un scanner abdomino-pelvien sans injection à la recherche notamment de calcifications des axes iliaques.
Question 15. M. H. vous demande également comment se déroule le prélèvement d’organe d’où peut provenir son futur greffon, et combien de temps va-t-il attendre. Que lui répondez vous ?
En 2016 en France, plus de 8 000 patients ont été inscrits sur liste d’attente pour une transplantation rénale quand moins de 6 000 ont été greffés (situation de pénurie d’organes). Le consentement du donneur décédé est présumé, ce qui signifie que l’accord est possible si le refus n’a pas été exprimé via le registre national des refus (inscription en ligne dès 13 ans). L’accord de la famille est cependant toujours indispensable. Le rein est conservé en ischémie froide à 4 °C entre le prélèvement et la transplantation.
– neuromusculaires : paresthésie des extrémités, de la langue et de la région péribuccale ; diminution de la sensibilité profonde et faiblesse neuromusculaire ;
– à ECG : ondes T amples et pointues, symétriques, diffuses ; allongement de l’espace PR ; élargissement des QRS.