De garde aux urgences générales, vous recevez via le SAMU monsieur G, 56 ans, pour insuffisance respiratoire aiguë. Il s’agit d’un patient ayant pour principal antécédent une chirurgie de prothèse de genou gauche il y a 2 mois, au décours de laquelle la prophylaxie thrombo-embolique avait bien été respectée. Il est hypertendu, habituellement sous Coveram® (périndopril/amlodipine). Il n’a pas d’allergies. À son arrivée, la fréquence respiratoire est à 27/min sans signes de lutte, avec une saturation à 91% malgré 5L/min d’oxygène au masque. La pression artérielle est à 87/41 mmHg, la fréquence cardiaque à 110/min, la température à 37,1°C. L’examen physique montre une discrète turgescence jugulaire et des marbrures des genoux sans autres anomalies. L’auscultation pulmonaire est normale.
Une gazométrie artérielle réalisée aux urgences donne les résultats suivants : pH = 7,31; Pa O2 = 61 mmHg ; Pa CO2 = 31 mmHg; lactates = 3,1 mmol/L; bicarbonates = 19 mmol/L.
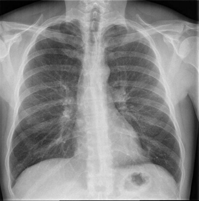
L’électrocardiogramme (ECG)et la radiographie thoracique sont donnés ci-après :
Question 1 : Concernant cette gazométrie artérielle, on peut dire qu’il existe : Une ou plusieurs proposition(s) exacte(s)
pH <7,38 : il existe donc une acidose.
PaCO2<38mmHg (hypocapnie) associée à une baisse des bicarbonates : l’acidose est métabolique (si elle avait été respiratoire, la PaCO2 aurait été élevée).
PaO2 < 60mmHg : il existe donc une hypoxémie (à ne pas confondre avec « l’hypoxie » qui est une définition tissulaire, liée au métabolisme anaérobie).
La somme PaO2 + PaCO2 <120mmHg constitue la définition de l’effet shunt gazométrique. Celui-ci n’est cependant pas spécifique de l’embolie pulmonaire (EP).
Malgré une expansion volémique prudente, la pression artérielle systolique reste basse autour de 90mmHg et l’état clinique du patient ne s’améliore pas.
Votre hypothèse diagnostique principale est celle d’une embolie pulmonaire grave.
Question 2 : La ou les proposition(s) exacte(s) concernant le diagnostic de l’embolie pulmonaire grave est (sont)
Pour poser le diagnostic d’EP grave (état de choc obstructif secondaire à l’obstruction artérielle pulmonaire), il faut exclure les autres causes d’état de choc auparavant (notamment septique et les troubles du rythme mal tolérés). Lorsque l’état clinique du patient est trop instable, le couple « état de choc + cœur pulmonaire aigu échographique » suffit à poser le diagnostic et autoriser le traitement désobstructif par thrombolyse intra-veineuse. Si le malade est suffisamment stable, il est toujours utile de confirmer le diagnostic par un angioscanner thoracique mais celui-ci ne doit surtout pas retarder la prise en charge.
On rappelle que les D-dimères ont une excellente valeur prédictive négative et que dans le cas d’une EP grave (probabilité élevée), ils ne sont d’aucune utilité (en effet, ici le diagnostic est très probable en raison de la dyspnée sine materia, l’hypoxémie, la tachycardie, l’état de choc, l’antécédent récent de chirurgie prothétique orthopédique).
Enfin, l’angiographie pulmonaire n’est plus un examen recommandé pour le diagnostic de l’EP, qu’elle soit grave ou non.
L’algorithme diagnostique des EP est résumé dans la figure 3 :
Vous décidez de réaliser l’angioscanner thoracique qui confirme votre diagnostic avec la présence d’un thrombus volumineux, proximal, au niveau du tronc de l’artère pulmonaire, et obstruant quasi totalement l’artère pulmonaire droite.
L’échographie au lit du patient montre une fraction d’éjection du ventricule gauche (FEVG) à 56 %, des calcifications aortiques avec une ouverture valvulaire conservée, et une dilatation importante des cavités droites. La pression artérielle pulmonaire systolique est estimée à 55 mmHg.
L’état clinique du patient est stationnaire, avec une hypotension artérielle systolique persistante (autour de 85 mmHg).
Question 3 : La prise en charge thérapeutique des 24 premières heures comporte. Une ou plusieurs proposition(s) exacte(s)
Le traitement de choix de l’EP grave est la thrombolyse intraveineuse en urgence. Le traitement par héparinate de sodium (voie intraveineuse, l’héparinate de calcium étant l’héparine sous-cutanée, contre-indiquée dans ce cas) sera débuté juste après la thrombolyse, dès que le temps de céphaline activé (TCA) < 3 fois le témoin. Les contre-indications absolues de la thrombolyse doivent être connues (figure 4). En cas d’échec ou de contre-indication à la thrombolyse, une embolectomie chirurgicale ou percutanée se discutera.
La valvuloplastie n’a pas sa place ici car le tableau clinique n’est pas lié à la valvulopathie aortique.
Le filtre cave n’a pas d’application ici, il doit être utilisé chez des patients pour qui un traitement anticoagulant est contre-indiqué (figure 5). Enfin, les traitements antihypertenseurs doivent évidemment être arrêtés dans ce contexte d’état de choc car ils aggravent l’hypoperfusion périphérique et coronaire… C’est une mesure de bon sens !
Vous décidez de traiter votre patient par thrombolyse (altéplase), procédure qui est réalisée avec succès et sans complications hémorragiques.
L’évolution est ensuite rapidement favorable en unité de soins intensifs cardiologiques.
Le patient est traité initialement par héparinate de sodium (héparine non fractionnée, HNF) à la seringue électrique.
Le bilan biologique est normal, en particulier la fonction rénale et la fonction hépatique.
L’hémoglobine est stable à 13,8 g/dL.
Question 4 : Concernant la suite de la prise en charge, la ou les proposition(s) suivante(s) est (sont) exacte(s)
Il faut garder à l’esprit que tous les malades ayant une EP grave ont été exclus des études princeps évaluant les anticoagulants oraux directs (AOD). Ainsi, le relais après thrombolyse n’est pas recommandé avec un AOD. Il faut en rester aux anticoagulants classiques à savoir les antagonistes de la vitamine K (AVK). En attendant le relais, l’activité anticoagulante de l’héparine peut être monitorée par un dosage quotidien de l’activité anti-Xa (et non anti-IIa).
La durée du traitement anticoagulant dépend de l’identification de facteurs de risque de récidive (et notamment, l’existence d’un facteur favorisant ou non de la thrombose). Il est de plus en plus répandu de considérer la maladie thromboembolique veineuse comme une maladie chronique. Le patient est donc protégé du risque de récidive tant qu’il est traité, évidemment avec réévaluation régulière du rapport bénéfice-risque (et notamment du risque hémorragique rapporté au risque de thrombose potentiellement létale). Ainsi, le traitement anticoagulant durera au moins 3 mois. Dans ce cas précis, il existe un facteur déclenchant évident (la chirurgie prothétique) et le traitement pourra probablement être arrêté à 3 mois (figure 6). Les bas de contention n’ont pas montré d’efficacité dans la prévention des récidives mais plutôt dans la diminution du syndrome post-phlébitique.
Enfin, les diurétiques ne sont d’aucune utilité dans le traitement de l’EP au long cours.
Question 5 : Le(s) examen(s) suivant(s) doi(ven)t être réalisé(s) dans le cadre du bilan étiologique de cet épisode
L’écho-Doppler veineux des membres inférieurs est globalement systématique, même s’il n’apparaît clairement dans aucune recommandation. C’est avant tout pour proposer au patient des mesures physiques en cas de séquelles multiples de thrombose veineuse profonde.
Le bilan de thrombophilie est très discuté. L’âge d’indication de recherche de la thrombophilie a récemment été abaissé à 50 ans. En pratique, pas de bilan de thrombophilie après 50 ans, même en cas de maladie thromboembolique veineuse (MTEV) récidivante. Le cas particulier où il faut faire le bilan est le cas où le 1er épisode survient avant 50 ans et le 2e après 50 ans. La communauté scientifique n’est pas arrêtée sur une conduite à tenir précise, c’est pour cela que la proposition ne vous a pas été faite ici…
La recherche de néoplasie est systématique en l’absence de facteur déclenchant franc après 40 ans. Le scanner TAP n’a pas d’indication en première ligne. Il faut vérifier que les dépistages organisés par la Haute Autorité de santé (HAS) sont à jour : frottis/mammographie/examen gynécologique chez la femme, test Hémocult dans les 2 sexes, dosage de l’antigène spécifique de la prostate (PSA) chez l’homme. La numération formule sanguine (NFS) sera réalisée systématiquement. L’imagerie thoracique est obtenue avec l’angioscanner qui est fait dans l’immense majorité des cas. Tous les autres examens seront réalisés en deuxième intention.
Vous revoyez ensuite le patient en consultation tous les ans, et l’évolution est stable. Il vous décrit cependant, 3 ans après l’événement aigu, l’apparition récente d’une dyspnée NYHA II/III qui devient gênante dans les activités de la vie quotidienne. L’examen physique objective un discret souffle systolique 2/6e, râpeux, le long du bord gauche du sternum, sans irradiations. L’auscultation pulmonaire est sans particularité. Le reste de l’examen est normal.
Question 6 : Le bilan étiologique de première intention de cette dyspnée d’effort comporte.
Devant une dyspnée chronique, il faut rester simple dans un premier temps, en proposant : NFS (éliminer une anémie…), EFR avec gazométrie artérielle (pathologie respiratoire chronique ?), ECG, et surtout échocardiographie transthoracique (valvulopathie et ce d’autant plus qu’il existe un souffle, insuffisance cardiaque, hypertension pulmonaire), radiographie thoracique (anomalie parenchymateuse, fibrose, masse…).
Dans un second temps, en fonction des données du bilan de première intention, on pourra programmer une épreuve d’effort avec volume d’oxygène maximum (VO2 max), un scanner thoracique, ou un cathétérisme cardiaque, mais il ne s’agit pas d’examens de première intention (en pratique, le scanner thoracique n’a que peu d’intérêt lorsque la radiographie thoracique est normale).
La radiographie thoracique est normale.
Vous avez réalisé une échocardiographie transthoracique dont vous récupérez les résultats :
« Ventricule gauche non dilaté, modérément hypertrophié de façon concentrique. Pressions de remplissage ventriculaire gauches modérément élevées. Hypokinésie modérée de la paroi antéro-latérale. Hypokinésie sévère de la paroi inférieure. Cinétique homogène des autres segments. FEVG à 57 % en Simpson-Biplan. Débit cardiaque calculé à 4,7 L/min. Calcifications aortiques majeures avec ouverture valvulaire réduite. Gradient moyen VG-aorte à 47 mmHg, Vmax 4,5 m/s et surface aortique calculée à 0,95 cm2. Fuite mitrale minime physiologique. Les cavités droites ne sont pas dilatées. Il existe un flux d’insuffisance tricuspidienne grade II permettant d’estimer la PAPs à 23 mmHg (Vmax IT 2,1 m/s). Péricarde sec. Veine cave inférieure fine et compliante. »
Question 7 : Les conclusions que l’on peut tirer de cet examen échographique sont
Il existe un rétrécissement aortique serré, défini par une surface < 1 cm2 (ou < 0,6 cm2/m2 en indexé), une Vmax > 4 m/s et un gradient moyen > 40 mmHg. Un seul de ces paramètres concordant suffit à poser le diagnostic de rétrécissement aortique serré. Les paramètres hémodynamiques (Vmax et gradient moyen) ont plus de valeur diagnostique que la surface calculée (dont la mesure comporte des approximations qui peuvent faire grandement varier le résultat).
Les troubles de cinétique segmentaire signent une probable cardiopathie ischémique surajoutée.
Il n’y a pas d’hypertension pulmonaire, pas de dilatation des cavités droites, il n’y a donc pas d’hypertension pulmonaire thromboembolique chronique. Un flux d’insuffisance tricuspidienne est physiologique chez tous les individus (25 % n’en ont cependant pas).
Références : Recommandations ESC 2014 sur l’embolie pulmonaire aiguë. recommandations ESC 2017 sur les valvulopathies.
Le bilan a également comporté une exploration fonctionnelle respiratoire (EFR) avec épreuve de réversibilité que voici :
– volume expiratoire maximal par seconde/capacité vitale (VEMS/CV) à 42 % ;
– VEMS à 1,80 L ;
– VEMS/CV post-bronchodilatateurs à 43 % ;
– VEMS post-bronchodilatateurs à 1,88 L.
Question 8 : Les conclusions que l’on peut tirer de ces EFR est/sont
Un TVO se définit par un VEMS/CV < 0,7. Un trouble ventilatoire restrictif se définit par une capacité pulmonaire totale (CPT) < 0,8. Un trouble ventilatoire mixte associe une part obstructive avec une part restrictive.
Le test de réversibilité est systématiquement réalisé. La réversibilité est dite significative lorsque le VEMS (et NON le rapport VEMS/CV) augmente de 200 mL ET de 12 % de la valeur initiale. Cette réversibilité est dite complète lorsque le rapport VEMS/CV se normalise ET que le VEMS se normalise également (> 80 % de la valeur théorique).
La BPCO se caractérise par un TVO non réversible lors du test aux bêta-2 mimétiques (attention ! il peut y avoir un certain degré de réversibilité qui n’est jamais significatif).
Attention ! Un VEMS < 1 L et/ou à 30 % de la valeur théorique est une contre-indication opératoire ! Ce n’est pas le cas ici. Souvenez-vous par ailleurs qu’en chirurgie thoracique (pulmonaire), des EFR préopératoires sont systématiques. Il faut prédire le VEMS postopératoire (on estime qu’enlever un lobe ampute 25 % des volumes). Si ce VEMS est < 1 L et/ou à 30 % de la valeur théorique, la chirurgie est contre-indiquée.
Question 9 : À la lumière des éléments précédents, on peut proposer au patient
Indications de la chirurgie :
– rétrécissement aortique calcifié (RAC) serré symptomatique ou avec indication d’une autre chirurgie cardiaque (pontage, autre valve, aorte ascendante) [grade I] ;
– RAC serré asymptomatique avec Vmax > 5,5 m/s [grade IIa] ;
– RAC serré avec symptômes au test d’effort [grade I] ;
– RAC serré avec FEVG < 50 % sans autre cause à la dysfonction VG [grade I] ;
– RAC serré en bas débit/bas gradient avec dysfonction ventriculaire gauche et nécessité d’une autre intervention (pontage, aorte ascendante ou autre valve) [grade IIa] ;
– RAC lâche avec nécessité d’une autre intervention (pontage, aorte ascendante ou autre valve) [grade IIa].
Les indications sont résumées dans la figure 7. Recommandations ESC 2017 sur les valvulopathies. On ne vous embêtera probablement pas sur les indications borderline de la chirurgie de la valve aortique. Il faut cependant parfaitement connaître 1° la définition du rétrécissement aortique serré et 2° l’indication chirurgicale du rétrécissement aortique serré symptomatique.
La procédure de TAVI (remplacement de la valve aortique par voie percutanée) est réservée, pour l’instant, aux patients âgés, avec une espérance de vie de plus d’un an, et présentant un risque opératoire en chirurgie conventionnelle trop élevé. L’indication doit être posée au cours d’une discussion multidisciplinaire (Heart Team). Avant 60 ans, on décide d’implanter préférentiellement une valve mécanique, dont la durée de vie est plus longue (figure 8).
Vous prenez la décision d’opérer, et votre patient est d’accord avec cette attitude. Vous retenez l’indication à l’implantation d’une valve mécanique en position aortique, sans geste sur la valve mitrale.
Question 10 : Le bilan préopératoire devra comporter
Tous ces examens doivent impérativement être réalisés avant la chirurgie. La coronarographie permet de rechercher une coronaropathie associée. Les consultations ORL et stomatologiques permettent de rechercher des foyers infectieux en préopératoire, qui pourraient être des portes d’entrée d’endocardites ou de médiastinites. La consultation d’anesthésie est médico-légale, au moins 48 heures avant la chirurgie. Il faut également réaliser un écho-Doppler des troncs supra-aortiques (TSA) pour vérifier l’absence de sténose serrée sur les artères à visée encéphalique, afin d’éviter les complications liées à la circulation extracorporelle peropératoire.
Références et source de l’illustration : photothèque personnelle, d’après les recommandations ESC sur la revascularisation myocardique.
Vous avez réalisé une coronarographie. Celle-ci objective des lésions tritronculaires avec notamment une sténose serrée de l’artère interventriculaire antérieure (IVA)
Question 11 : En quoi cette donnée modifie-t-elle votre prise en charge ?
Il s’agit ici d’une question de bon sens. Cette donnée implique la nécessité de réaliser un pontage aorto-coronarien en même temps que le remplacement valvulaire aortique mais ne contre-indique pas le geste. Le risque opératoire est majoré (puisqu’on ajoute un geste !).
Évidemment on ne réalise pas d’angioplastie avant la chirurgie valvulaire car 1° cela nécessiterait une bithérapie antiagrégante qui majorerait le risque opératoire et 2° cela est inutile puisque la revascularisation chirurgicale est tout aussi efficace.
Pour rappel, les indications de l’angioplastie/pontage sont résumées dans la figure 9.
Le patient est opéré et bénéficie d’un remplacement valvulaire aortique mécanique associé à un triple pontage aorto-coronaire. Les suites opératoires sont simples, sans trouble du rythme ni épisodes d’insuffisance cardiaque et le patient regagne le service de chirurgie cardiaque au 3e jour postopératoire.
Question 12 : Indiquez la (ou les) proposition(s) exacte(s) concernant la suite de la prise en charge de cette patiente :
Le rivaroxaban est un AOD, qui n’a absolument pas d’autorisation de mise sur le marché (AMM) dans l’anticoagulation au long cours des valves mécaniques. Si le patient était sous AOD avant, celui-ci doit être relayé par un AVK au choix après la chirurgie.
L’INR cible d’une valve aortique en position mécanique est 2 à 3, même en cas d’antécédent d’embolie pulmonaire (figure 10). (Prendre en considération qu’aujourd’hui seules des prothèses de basse thrombogénicité sont implantées).
Recommandations ESC 2017 sur les valvulopathies. Les interventions d’avulsion dentaire pourront être réalisées sous AVK, à condition que l’INR soit bien équilibré, et sous réserve d’appliquer des mesures d’hémostase locale soigneuse et renforcée, d’après les recommandations de la HAS (figure 11). Recommandations de la HAS 2009 sur la prise en charge des accidents des anticoagulants. Retenez que, maintenant, la présence d’une valve mécanique n’est pas obligatoirement une contre-indication aux examens IRM car il existe des valves mécaniques IRM-compatibles. Cependant, avant de réaliser un examen IRM, vous devez absolument voir la carte de porteur de valve et vérifier qu’elle est bien compatible !
Six mois après la chirurgie, vous revoyez le patient aux urgences pour hématémèse. Celui-ci décrit que les vomissements ont commencé il y a 2 jours, jusqu’à devenir de plus en plus abondants ce jour. L’examen physique montre un patient asthénique, présentant une pâleur cutanéo-muqueuse marquée. La pression artérielle est à 71/42 mmHg, la fréquence cardiaque à 121/min, la saturation à 97 % en air ambiant. L’aspect des genoux est représenté figure 12. Au fur et à mesure de votre examen, le patient devient de plus en plus confus et somnolent, répondant de moins en moins à vos questions. La glycémie capillaire est de 6,1 mmol/L. Il n’y a pas de signes de localisation neurologique.
Question 13: Concernant le tableau clinique actuel, on peut dire que :
Dans cette situation d’état de choc hémorragique sur hémorragie digestive, les troubles de conscience sont liés à un bas débit cérébral lié à l’hypovolémie. L’urgence est de stabiliser le patient : expansion volémique par sérum salé isotonique et, si cela ne permet pas de réhausser la pression artérielle, utilisation de vasopresseurs (noradrénaline notamment). Le meilleur soluté de remplissage reste le sang, dans ce contexte de choc hémorragique. Le scanner cérébral, par ailleurs, n’a donc que peu d’intérêt devant l’absence de déficit neurologique focal.
La situation clinique du patient (tant sur le plan neurologique qu’hémodynamique) n’est pas suffisamment stable pour réaliser l’endoscopie immédiatement. Il faut procéder à la stabilisation du malade (qui va probablement passer par une intubation oro-trachéale et l’introduction d’amines vasopressives), puis réaliser l’endoscopie dans de bonnes conditions.
Malgré une expansion volémique adaptée, l’état hémodynamique du patient ne s’améliore pas et vous devez l’intuber et lui administrer de la noradrénaline afin de maintenir une hémodynamique satisfaisante. Le patient est transféré en réanimation, transfusé de 2 concentrés globulaires, et finalement stabilisé sur le plan hémodynamique. L’INR d’entrée était à 6,91 et l’hémoglobine à 5,9 g/dL.
Question 14: La gestion du traitement anticoagulant consiste en :
Vous êtes face à une situation d’hémorragie grave par surdosage en AVK. Les recommandations de la HAS 2008 sont claires sur ce sujet, qu’il existe ou non une valve mécanique, le pronostic est actuellement dominé par le risque vital lié à l’hémorragie. Le traitement correspond à l’arrêt des AVK, leur antagonisation par vitamine K et PPSB.
Le traitement anticoagulant a été arrêté, et antagonisé par vitamine K et PPSB, permettant d’obtenir un INR < 1,20. L’endoscopie œsogastroduodénale a montré un ulcère gastrique hémorragique, avec réalisation d’un traitement endoscopique. Les biopsies gastriques ont mis en évidence la présence d’Helicobacter pylori que vous traitez avec succès après avis gastroentérologique.
Question 15 : Parmi les propositions suivantes concernant le traitement anticoagulant, laquelle (lesquelles) est (sont) exacte(s) ?
Le patient a présenté un épisode d’hémorragie digestive sur un ulcère à Helicobacter pylori. Celui-ci ayant été traité et éradiqué, les AVK peuvent être repris. Même dans ce cas, les AOD n’ont aucune indication et ne doivent donc pas être prescrits.
Le traitement par AVK se prend à vie chez les patients qui ont une valve mécanique (à ne pas confondre avec les plasties mitrales ou les bioprothèses mitrales qui sont anticoagulées seulement 3 mois).
Le traitement par AVK contre-indique les sports à risque de saignement, y compris les sports en chute libre et les sports de combat. Le patient peut en revanche parfaitement faire de la natation.
PaCO2<38mmHg (hypocapnie) associée à une baisse des bicarbonates : l’acidose est métabolique (si elle avait été respiratoire, la PaCO2 aurait été élevée).
PaO2 < 60mmHg : il existe donc une hypoxémie (à ne pas confondre avec « l’hypoxie » qui est une définition tissulaire, liée au métabolisme anaérobie).
La somme PaO2 + PaCO2 <120mmHg constitue la définition de l’effet shunt gazométrique. Celui-ci n’est cependant pas spécifique de l’embolie pulmonaire (EP).