Vous êtes médecin généraliste et vous recevez pour la première fois dans votre cabinet Mme M., âgée de 32 ans.

Elle a comme antécédent médical une hypothyroïdie et prend pour seul traitement du Levothyrox et une pilule œstroprogestative de 3génération. Elle n’a pas d’intoxication alcoolo-tabagique.

Elle décrit depuis deux jours une toux sèche diurne sans fièvre ni expectoration ni douleur thoracique, apparue environ une heure après un repas comprenant des fruits de mer. À l’examen clinique, les constantes sont les suivantes : température (T) = 37,8 °C ; pression artérielle (PA) = 123/67 mmHg ; fréquence cardiaque (FC) = 68/min ; saturation en oxygène (SaO2) = 98 % ; fréquence respiratoire (FR) = 16/min.

L’auscultation retrouve des bruits du cœur réguliers sans souffle, un murmure vésiculaire bilatéral et symétrique sans bruit surajouté. Les vibrations vocales sont symétriques et perçues dans les deux champs pulmonaires. Vous ne retrouvez pas de matité à la percussion pulmonaire. Elle n’a pas d’angiœdème du visage.
Question 1 - D’après les informations dont vous disposez, quel(s) diagnostic(s) évoquez-vous ?
Pas de signe de pleurésie ni de pneumopathie.
Diagnostic peu probable devant l’absence de douleur thoracique.
L’allergie IgE médiée fait partie des allergies immédiates, c’est-à-dire que l’apparition des symptômes est quasi immédiate (généralement moins d’une heure après l’ingestion).
Premier diagnostic à évoquer depuis une toux aiguë sans signe clinique associé (absence de fièvre, d’expectorations purulentes, crépitants à l’auscultation, insuffisance respiratoire aiguë).
Peu probable, examen clinique non en faveur (pas de matité, pas de diminution des vibrations vocales ni du murmure vésiculaire, absence de souffle pleural).
Tableau récapitulatif des différents signes cliniques :
Vous diagnostiquez une bronchite simple.
Question 2 - Quel(s) traitement(s) proposez-vous ?
Inutile en cas de trouble ventilatoire obstructif (TVO) réversible documenté.
Une bronchite chez un adulte sain (c’est-à-dire sans terrain respiratoire fragilisant, par exemple BPCO, asthme, pneumopathie interstitielle chronique) se traite en ambulatoire et de manière symptomatique (paracétamol à visée antipyrétique) car dans 90 % des cas l’origine est virale.
L’absence d’antibiothérapie est la règle.
La prescription des traitements corticoïdes systémiques ou inhalés, des anti-inflammatoire non stéroïdiens, des mucolytiques est non recommandée, voire délétère.
Évolution favorable avec disparition des signes en quelques jours. Attention ! Une toux peut persister jusqu’à quelques semaines après le début des symptômes (généralement deux à trois semaines).
La patiente consulte de nouveau dans votre cabinet deux mois plus tard. Elle décrit une toux qui a persisté dans le temps et l’apparition concomitante d’une asthénie associée à une perte de poids de 5 kg (poids de forme 55 kg), ainsi que des épisodes de frissons sans fièvre objectivée.
Les constantes sont les suivantes : température = 37,4 °C ; pression artérielle = 131/58 mmHg ; fréquence cardiaque = 95/min ; saturation en oxygène = 95 % ; fréquence respiratoire = 15/min.
À l’examen clinique, vous entendez des crépitants à l’apex gauche, à l’auscultation pas de signe de Hoover ni de signe de Campbell. L’auscultation cardiaque retrouve des bruits du cœur réguliers sans souffle, sans autre signe d’insuffisance cardiaque. Elle n'a pas de pli cutané ou de sécheresse buccale.
Question 3 - Quel(s) examen(s) préconisez-vous ?
Pas d’indication devant l’absence de point d’appel, cet examen est prescrit dans des situations bien précises. Les plus courantes sont : caractériser un nodule/masse/adénopathies, rechercher des lésions secondaires dans un cancer solide (hors cerveau), l’évaluation de certains lymphomes, et de certaines vascularites des gros vaisseaux (maladie de Horton).
Pas d’indication en première intention.
Examen indiqué devant une symptomatologie clinique respiratoire avec des crépitants et une altération de l’état général. Elle pourra être complétée par un scanner thoracique en l’absence de diagnostic ou pour mieux caractériser les anomalies retrouvées.
Indiqué devant une perte de poids et une asthénie inexpliquée même si classiquement l’hypothyroïdie se présente par une prise de poids et une asthénie liée à une diminution du métabolisme et une hyperthyroïdie par une perte de poids et une hyperactivité liée à l’accélération du métabolisme.
Aucune indication à réaliser des explorations fonctionnelles respiratoires devant l’absence de dyspnée.
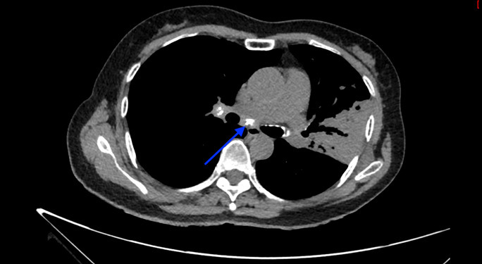
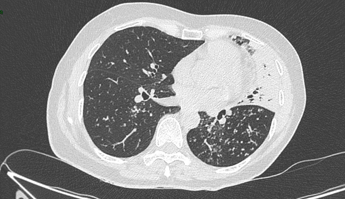
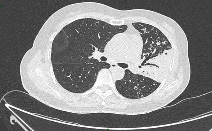
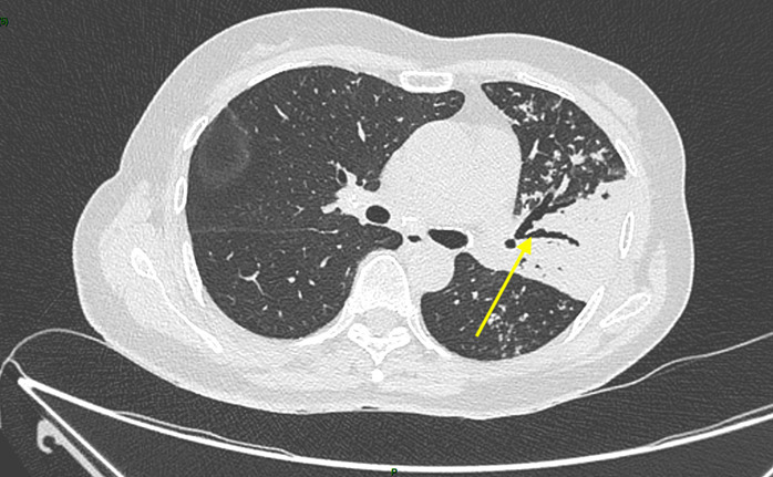
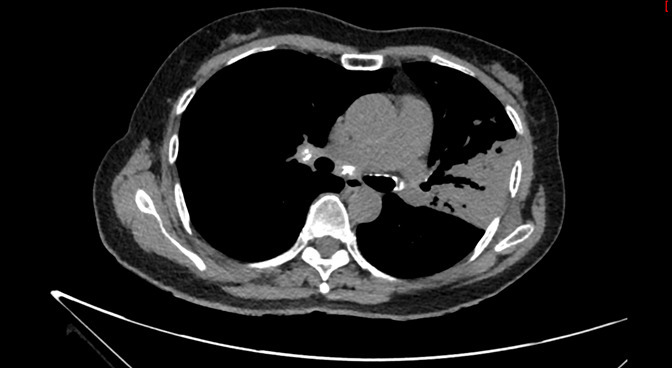
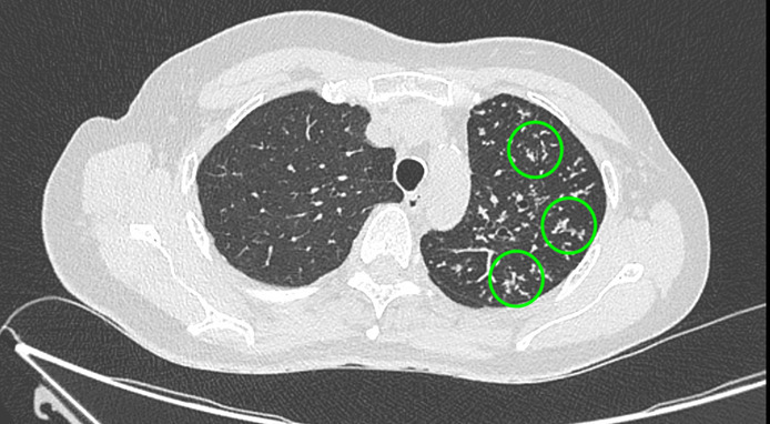
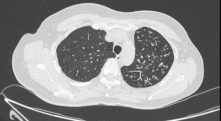
Un scanner thoracique est finalement réalisé devant cette toux chronique et l’altération de l’état général, dont voici quelques coupes :
Figure 2 (Jacques Durin, La Revue du Praticien)
Figure 3 (Jacques Durin, La Revue du Praticien)
Figure 4 (Jacques Durin, La Revue du Praticien)
Figure 5 (Jacques Durin, La Revue du Praticien)
Question 4 - À propos des résultats du scanner, quelle(s) est/sont la/les proposition(s) exacte(s) ?
Aspect de pneumopathie avec une condensation lobaire supérieure gauche et la présence d’un bronchogramme aérien dessinant l’arbre bronchique (flèche jaune).
Cercles verts.
Absence de liquide au contact de la condensation, pas de pleurésie déclive.
Flèche bleue.
Figure 6 (Jacques Durin, La Revue du Praticien)
Figure 7 (Jacques Durin, La Revue du Praticien)
Figure 8 (Jacques Durin, La Revue du Praticien)
Le compte-rendu de radiologie décrit un aspect de pneumopathie lobaire supérieure gauche associée à des micronodules péri-bronchiolaires et des adénopathies médiastino-hilaires calcifiées.
Vous réalisez une prise de sang : leucocytes = 7 000/mm3 dont 5 600 polynucléaires neutrophiles ; polynucléaires éosinophiles = 100/mm3 ; polynucléaires basophiles = 0/mm3 ; lymphocytes = 900/mm3 ; monocytes = 400/mm3 ; hémoglobine = 12,5 g/dL ; volume globulaire moyen  (VGM) = 85 fL ; plaquettes = 450000/mm3 ; protéine C réactive (CRP) =  15 mg/L ; créatinine = 62 mol/L ; kaliémie = 4 mmol/L ; natrémie = 130 mmol/L ; chlorémie = 99 mmol/L ; bicarbonates = 21 mmol/L ; glycémie = 5 mmol/L ; albumine = 40 g/L ; TSH = 1,5 mUI/L (normes : 0,8-4) ; cortisol à 8 h = 600 nmol/L (normes : 250-700).
Question 5 - Quel(s) diagnostic(s) suspectez-vous en première intention devant l’ensemble du tableau ?
Important, toujours à rechercher devant une altération de l’état général et une lymphopénie.
Clinique non compatible : absence de fièvre, d’insuffisance respiratoire aiguë, traditionnellement tableau bruyant et rapide lors de quelques jours.
Patiente non tabagique, cancer généralement infiltrant particulièrement les scissures, dans le cas présent respect de la scissure gauche.
Clinique peu évocatrice : absence de fièvre, évolution prolongée.
Premier diagnostic à évoquer devant une altération de l’état général et un aspect de pneumopathie lobaire supérieure d’évolution progressive.
On pourrait également évoquer une pneumopathie à germe atypique (des condensations sont parfois visibles), ainsi qu’une sarcoïdose, mais l’aspect scanographique n’est pas typique (généralement micronodules de distribution lymphatique et non péri-bronchiolaire).
Vous réalisez des BK crachats retrouvant des BAAR dont l’identification conclut à Mycobacterium tuberculosis, la recherche de mutation du gène rpoB est négatif. Vous complétez le bilan par des sérologies du VIH, des hépatites B (VHB) et C (VHC) qui sont négatives et un ionogramme urinaire : Na = 35 mmol/L ; K = 4 mmol/L ; urée = 10 mmol/L.
Vous décidez d’introduire un traitement antituberculeux.
Question 6 - À propos du traitement antituberculeux à mettre en place, quelle(s) est/sont la/les réponse(s) exacte(s) ?
Il manque le bilan hépatique : aspartate aminotransférase (ASAT), alanine aminotransférase (ALAT), phosphatase alcaline (PAL), gamma-glutamyl transférase (GGT), bilirubine conjuguée + totale) et une uricémie.
Ne pas oublier le bilan ophtalmologique (vision des couleurs + champ visuel).
Absence de mutation du gène rpoB conférant la résistance à la rifampicine.
Les traitements doivent être pris à jeun soit 30 minutes à 1 heure avant les repas, soit 2 heures après.
La rifampicine est un inducteur enzymatique pouvant diminuer l’efficacité de la pilule œstroprogestative.
Schéma de première intention pour une tuberculose pulmonaire : quadrithérapie rifampicine (RMP) + isoniazide (INH) + éthambutol (EMB) + pyrazinamide (PZA) pendant 2 mois, puis bithérapie par RMP + INH pendant 6 mois.
Schéma alternatif : trithérapie par RMP + INH + EMB pendant 2 mois, puis bithérapie par RMP + INH pendant 7 mois.
Question 7 - À propos de la natrémie de la patiente, quelle(s) quelle(s) est/sont) la/les réponse(s) exacte(s) ?
La natrémie est un reflet des échanges en eau de l’organisme et donc un reflet de l’hydratation intracellulaire.
Hyponatrémie = excès en eau. 
Hypernatrémie = déficit en eau.
Ici pas de déshydratation extracellulaire cliniquement.
Osmolarité sanguine : Na (mmol/L) x 2 + glycémie (mmol/L), hypoOsm si 275 mmol/L et hyperOsm si > 300 mmol/L.
Ce sont deux paramètres indépendants.
Il faut évaluer le secteur extracellulaire et calculer l’osmolarité sanguine.
Hyponatrémie hyposmolaire avec diminution de l’osmolarité urinaire (cad < 100 mmol/L ; OsmU : (Na +K) x 2 + urée).
De plus, pas de déficit en sodium ou d’excès de sodium cliniquement.
Par conséquent, trois diagnostics possibles : 
– hypothyroïdie mais TSH normale ;
– hypocortisolémie mais cortisolémie à 8 h normale ;
– SIADH.

Exercez-vous aux ECN avec les dossiers progressifs et les LCA de La Revue du Praticien