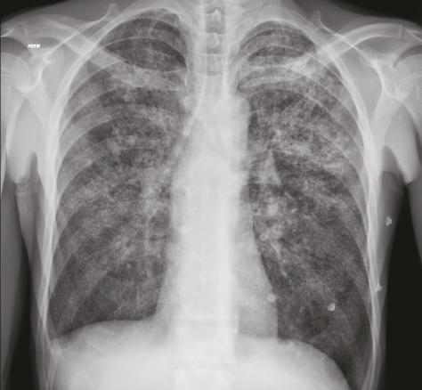
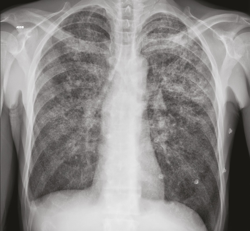
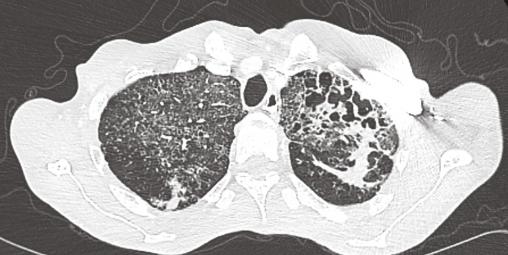
Cet homme était hospitalisé pour une fièvre avec toux et expectorations sans hémoptysie. On notait à l’examen de discrets ronchus et des adénopathies cervicales. Le bilan biologique montrait une hypercalcémie avec hypoparathyroïdie ; la 25(OH)-vitamine D3 était normale et la 1,25(OH)2-vitamine D3 augmentée. La radiographie pulmonaire et la tomodensitométrie thoracique mettaient en évidence des séquelles parenchymateuses d’une probable tuberculose et un aspect de miliaire. L’examen direct des crachats trouvait des mycobactéries et la culture confirmait la présence de Mycobacterium tuberculosis. L’évolution de la calcémie était favorable après hydratation, corticothérapie et quadrithérapie antituberculeuse.
L’incidence de l’hypercalcémie au cours de la tuberculose varie selon les études et les régions entre 2 et 25 %, les incidences les plus élevées étant notées dans les pays les plus ensoleillés et ceux où les apports en calcium et vitamine D sont les plus élevés.1 Elle est le plus souvent rapportée au cours de la tuberculose pulmonaire. L’hypercalcémie est due à une synthèse extrarénale de 1,25(OH)2-vitamine D3 par les macrophages des granulomes ayant une activité 1-alpha hydroxylase. Au sein des granulomes, la fixation de 1,25(OH)2-vitamine D3 sur ses récepteurs spécifiques module la réponse immunitaire et diminue la réponse inflammatoire source de lésions tissulaires. Le traitement de l’hypercalcémie en lien avec la tuberculose ne diffère pas de celui des autres causes.2
Références
1. Chan TY. Differences in vitamin D status and calcium intake: possible explanations for the regional variations in the prevalence of hypercalcemia in tuberculosis. Calcif Tissue Int 1997;60:91-3.
2. Tung YC, Ou TT, Tsai WC. Elevated 1-α hydroxylase activity in monocytes from patients with active tuberculosis. Clin Dev Immunol 2013;928138.
2. Tung YC, Ou TT, Tsai WC. Elevated 1-α hydroxylase activity in monocytes from patients with active tuberculosis. Clin Dev Immunol 2013;928138.
Une question, un commentaire ?
Sur le même thème
Exercice
Article
Article
Exercice