Recherche avancée

Précisez votre recherche

Par mots
Par parution

Affinez votre recherche en cliquant sur les rubriques (articles, dossiers, tests...)

Displaying 1526 - 1537 of 1537

Érythème acral

PIED
ERYTHEME ACRAL
ERYTHEME ACRAL
Image

Mamelon du jogger

MAMELONS
HYPERKERATOSE
mammelon du jogger
Image
promo

Chondrocalcinose articulaire

ARTHROPATHIES A CRISTAUX
Image

Tophus

ARTHROPATHIES A CRISTAUX
nn
Image

Goutte chronique tophacée

ARTHROPATHIES A CRISTAUX
Image

Chondrocalcinose articulaire

ARTHROPATHIES A CRISTAUX
Image

Chondrocalcinose articulaire

ARTHROPATHIES A CRISTAUX
Image

Goutte

ARTHROPATHIES A CRISTAUX
Image

Nécrose digitale secondaire à un phlegmon

INFECTIONS DES TISSUS MOUS
CELULLITE SOUS-CUTANEE
NECROSE
Image

Phlegmon thénarien

INFECTIONS DES TISSUS MOUS
CELULLITE SOUS-CUTANEE
Image

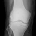
Ostéochondrose apophysaire de la rotule

FRACTURES OSSEUSES
ENFANT
EXERCICE PHYSIQUE
Image