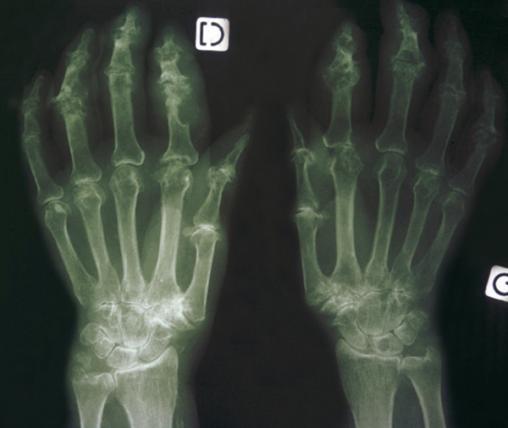
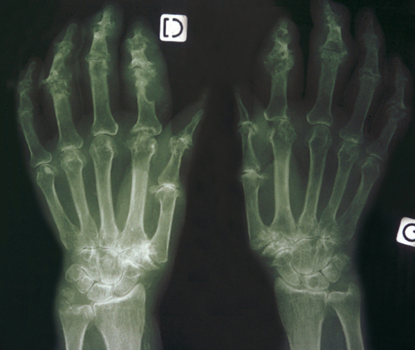
© Gérard Chalès, Pascal Guggenbuhl (La Revue du Praticien)
Radiographie de mains (face). Goutte : opacité des parties molles (tophus), destruction des interphalangiennes proximales et distales. Voir : Chalès G, Guggenbuhl P. Arthropathie microcristalline. Rev Prat 2013;63(5):709-20.