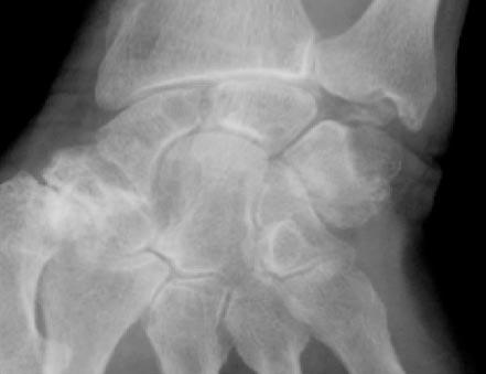
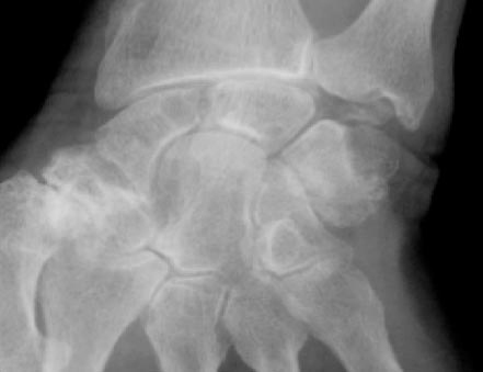
© La Revue du Praticien Radiographie de poignet gauche de face. Chondrocalcinose articulaire. Pincement de l'interligne radiocarpien. Pincement de l'interligne scaphotrapézien. Incrustation calcique du ligament triangulaire du carpe.