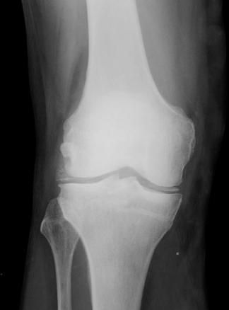
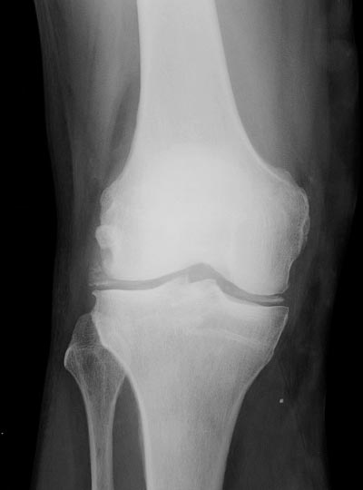
© La Revue du Praticien Radiographie du genou droit de face. Chondrocalcinose articulaire. Incrustation calcique des ménisques.