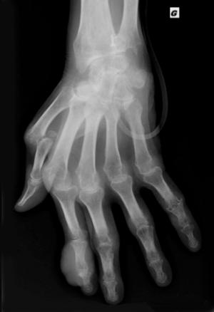
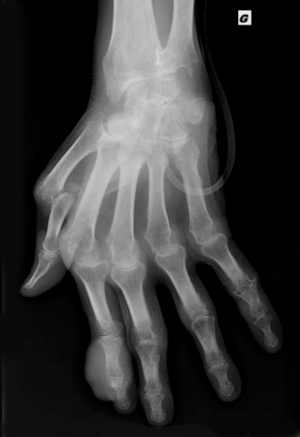
Radiographie de main/poignet gauches de face. Goutte chronique tophacée. Association de lésion destructrices (géodes et érosions) et constructrices : styloïde ulnaire, métacarpophalangiennes (1re et 2e), interphalangiennes proximales (3e, 4e et 5e), interphalangiennes distales (2e et 5e). Pincement des interlignes radio-carpien, radio-ulnaire inférieur, intra-carpiens et des métacarpo- phalangiennes (2e, 3e, 4e, 5e). Luxation de la 1re métacarpophalangienne. Volumineux tophus en regard des interphalangiennes proximale et distale du 2e doigt.