Arthrose fémoro-patellaire
ARTHROSE
GONARTHROSE
Image
Coxarthrose
COXARTHROSE
Image
Arthrose fémoro-patellaire
GONARTHROSE
Image
Sphérocytes (anémie hémolytique auto-immune)
ERYTHROCYTES ANORMAUX
ANEMIE HEMOLYTIQUE AUTO-IMMUNE
Image
Microcytose, hypochromie, annulocytes (carence martiale)
ERYTHROCYTES ANORMAUX
Image
Poïkilocytose, drépanocytes, érythroblastes (drépanocytose homozygote)
ERYTHROCYTES ANORMAUX
Image
Leishmaniose cutanée
LEISHMANIOSE CUTANEE
Image
Leishmaniose cutanée
LEISHMANIOSE CUTANEE
Image
Myiase américaine
MYASES
Image
Abcès sous-cutané staphylocoque doré méti-R
STAPHYLOCOCCUS AUREUS
ABCES
Image
Balanite plasmocytaire de Zoon
BALANITE
Image
Dermatite périorale
DERMATITE PERIORALE
Image
Chéilite fongique
CHEILITE FONGIQUE
Image
Carcinome basocellulaire de la paupière
CARCINOME BASOCELLULAIRE
Image
Lucite estivale forme papuleuse
PHOTODERMATOSE
Image
Carcinome épidermoïde ulcéro-végétant
CARCINOME EPIDERMOIDE
Image
Carcinome épidermoïde de la langue
CARCINOME EPIDERMOIDE
LANGUE
Image
Lésion en lien avec un traumatisme direct par un câble replié chez un nourrisson de 18 mois
ENFANT
VIOLENCE DOMESTIQUE
Image
Lésions de strangulation chez une adolescente de 17 ans
ENFANT
VIOLENCE DOMESTIQUE
Image
Angiographie à la fluorescéine d’une patiente diabétique
DIABETE
RETINOPATHIE DIABETIQUE
ANGIOGRAPHIE
Image
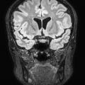
IRM cérébrale, coupe coronale en séquence T2 FLAIR
IRM
IMAGERIE PAR RESONANCE MAGNETIQUE
Image
Ectropion cervical
ECTROPION
Image
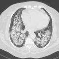
Hémorragie intra-alvéolaire
HEMORRAGIE
ALVEOLES PULMONAIRES
Image
Mélanome
MELANOME
Image
Ptosis
MYASTHENIE
Image