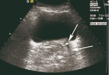
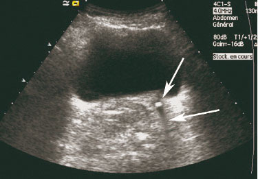
Échographie vésico-rénale. Hyperéchogénicité rétro-vésicale compatible avec une lithiase du bas uretère gauche avec cône d'ombre postérieur. Il s'agit de signes échographiques directs. Les calculs sont facilement visualisés au niveau rénal, de l'uretère proximal sous-pyélique et terminal juxta-vésicale à condition que la vessie soit remplie.
Lire aussi
Article
Article