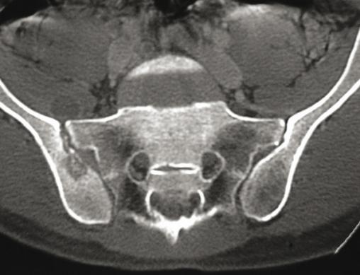
Tomodensitométrie des articulations sacroiliaques montrant une sacro-iliite tuberculeuse droite. Effacement de l'os sous-chondral, séquestres, petite collection abcédée en regard de l'interligne.