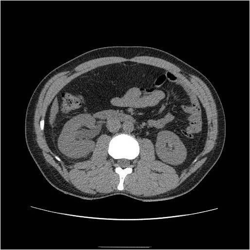
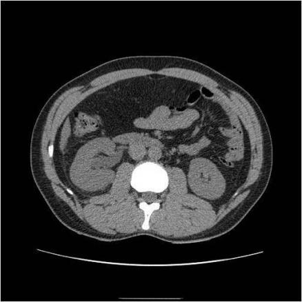
Scanner TDM sans injection à basse dose. Dilatation asymétrique des cavités pyélocalicielles rénales droites. Le scanner est maintenant utilisé de façon courante en urgence pour la prise en charge des patients avec une douleur du flanc. Cette stratégie s’est imposée par sa simplicité et sa rapidité, puisqu’elle remplace par un examen unique sans injection de produit de contraste les autres techniques (ASP, échographie et UIV) permettant une prise en charge rapide de ces patients