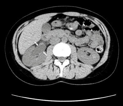
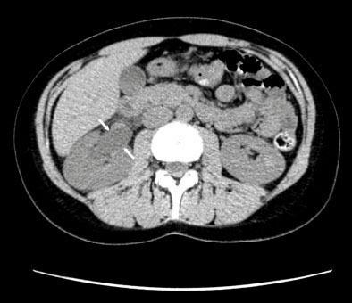
Vladimir Gomola, Jacques Hubert (La Revue du Praticien) Tomodensitométrie non injectée en coupe axiale mettant en évidence une dilatation du pyélon droit.