Metatarsus varus chez un nourrisson
METATARSUS VARUS
Image
Scoliose dorsale droite
SCOLIOSE
Image
Ostéochondrite de hanche gauche
OSTEOCHONDRITE
Image
Mesure de gibbosité
SCLOLIOSE
Image
Scoliose dorsale droite
SCOLIOSE
GIBBOSITE
Image
Macula rouge cerise
ANOMALIE DE VISION
MACULA
Image
Foyer de rétinochoroïde toxoplasmique maculaire
ANOMALIE DE LA VISION
TOXOPLASMOSE OCULAIRE
Image
Image
Image
Psoriasis lingual
PSORIASIS
Image
Aspects faisant suspecter un cholestéatome
OTALGIE
OTITE
Image
Décollement de rétine rhegmatogène
decollement de la retine
Image
Image
Carcinome épidermoïde de la marge anale
CARCINOME EPIDERMOIDE
Image
Spondylolyse
SPONDYLOSE
Image
Tumeur à cellules géantes
TUMEUR A CELLULES GEANTES
Image
Tumeurs des glandes salivaires
TUMEURS DES GLANDES SALIVAIRES
CANCER DE LA GLANDE SALIVAIRE
Image
Syndrome douloureux régional complexe
SYNDROME DOULOUREUX REGIONAL COMPLEXE
GONALGIE
Image
Mpox (variole du singe)
ORTHOPOXVIROSE SIMIENNE
Image
Goitre plongeant
GOITRE PLONGEANT
Image
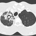
TEP/Scanner d'un lymphome de Hodgkin
MALADIE DE HODGKIN
Image