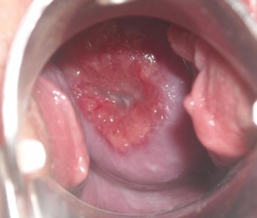
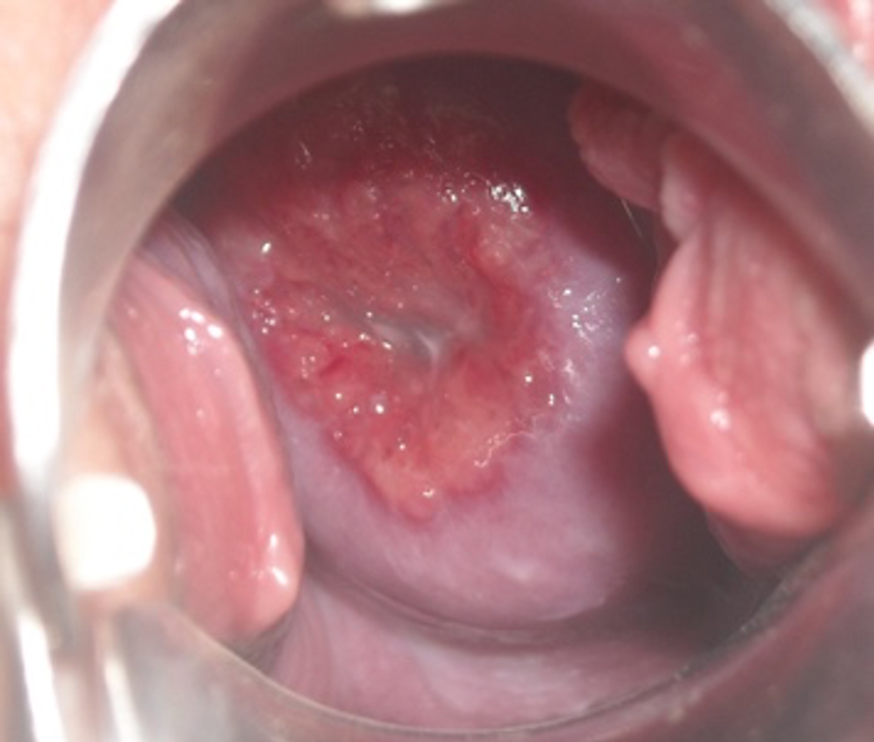
Samuel Khiat, La Revue du Praticien Ectropion : l'épithélium endocervical s’extériorise. C'est une anomalie fréquente, congénitale ou acquise (femmes enceintes par exemple).