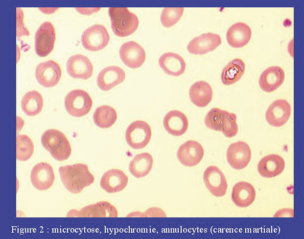
La microcytose est la diminution de la moyenne des volumes globulaires (VGM 82 fl). Sur frottis sanguin, les globules rouges apparaissent plus petits que les globules rouges normaux, avec une extension de leur centre clair. La microcytose résulte en général d’un défaut de synthèse de l’hémoglobine.