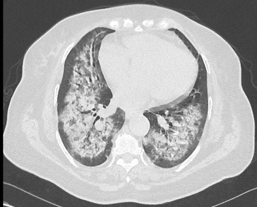
Étienne Crickx, La Revue du Praticien Scanner thoracique, coupe parenchymateuse. Opacités alvéolaires périhiliares, respectant les espaces sous pleuraux, bilatérales (hémorragie intra-alvéolaire).