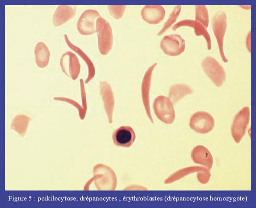
Les drépanocytes sont des globules rouges déformés en faucille. Cette déformation est la conséquence de la polymérisation des molécules d’hémoglobine S en milieu désoxygéné. Les drépanocytes sont rigides. Lorsqu’ils circulent dans les capillaires, ils bloquent la circulation sanguine, entraînant une anoxie, puis une ischémie tissulaire. Par ailleurs, il existe une hémolyse de ces cellules liée à leur fragilité. La présence de drépanocytes est toujours pathologique. Ils sont retrouvés dans les drépanocytoses homozygotes, dans les hémoglobinoses S/C, S/bêta-thalassémie. Leur présence en petit nombre impose un test de falciformation, qui détecte les drépanocytoses hétérozygotes.