Tumeurs du sein - Imagerie d'une masse palpable douloureuse du quadrant supéro-externe du sein droit
TUMEURS DU SEIN
MAMMOGRAPHIE
ECHOGRAPHIE
Image
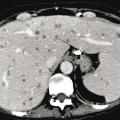
Candidose hépato-splénique
CANDIDOSE
MYCOSES
Image
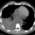
Aspergillome pulmonaire
MYCOSE PULMONAIRE
Image
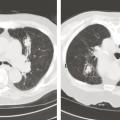
Mucormycose osseuse
MUCORMYCOSE
MYCOSES
Image
Psoriasis
PSORIASIS
Image
Cataracte sous-capsulaire postérieure
CATARACTE
POLE ANTERIEUR DU BULBE OCULAIRE
Image
Érythème noueux
ERYTHEME NOUEUX
Image
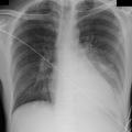
Pneumopathie base gauche
PNEUMOPATHIE INFECTIEUSE
Image
Image
Coxarthrose
ARTHROSE
HANCHE
COXARTHROSE
Image
Ponctuations basophiles
ERYTHROCYTES ANORMAUX
Image
Dacryocytes (myélofibrose)
ERYTHROCYTES ANORMAUX
Image
Schizocytes (post splénectomie)
ERYTHROCYTES ANORMAUX
Image
Globules rouges normaux
ERYTHROCYTES
Image
Leishmaniose cutanée
LEISHMANIOSE CUTANEE
Image
Dengue : symptôme cutané
DENGUE
Image
Larva migrans cutanée ankylostomienne du pied
LARVA MIGRANS
Image
Carcinome basocellulaire plan tatoué
CARCINOME
CARCINOME BASOCELLULAIRE
Image
Carcinome épidermoïde invasif sur kératose actinique
CARCINOME EPIDERMOIDE
KERATOSE ACTINIQUE
Image
Pseudo-cicatrices stellaires de Colomb
VIEILLISSEMENT DE LA PEAU
Image
Chalazion
CHALAZION
Image
Piqûres de punaises de lit
PUNAISES DES LITS
MORSURES ET PIQURES D'INSECTES
Image
Lésions digitiformes (fesses et visage) chez une enfant de 4 ans
ENFANT, VIOLENCE DOMESTIQUE
Image
Lésion ecchymotique centimétrique chez un nourrisson de 2 mois
ENFANT
VIOLENCE DOMESTIQUE
Image
Amœbose hépatique
AMIBIASE
ABCES HEPATIQUE
Image