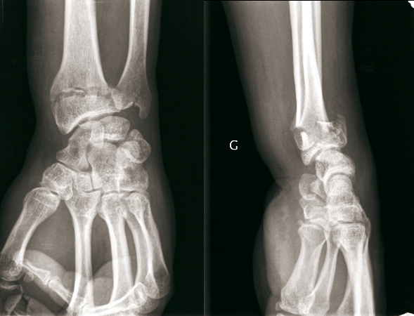
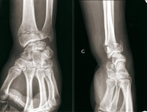
© Henry Coudane, Frédéric Éloy (La Revue du Praticien) Fracture extra-articulaire à déplacement postérieur dit fracture de Gérard Marchand = Pouteau-Colles + fracture styloïde ulnaire. (À gauche) Radio de face.(À droite) Radio de profil.