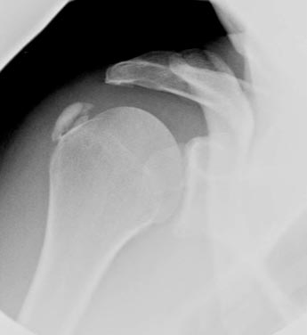
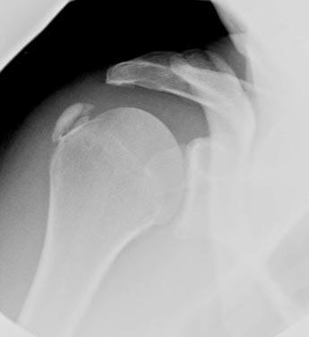
© La Revue du Praticien Radiographie d'épaule droite de face. Volumineuse calcification ovalaire sur le trajet du tendon supra-épineux.