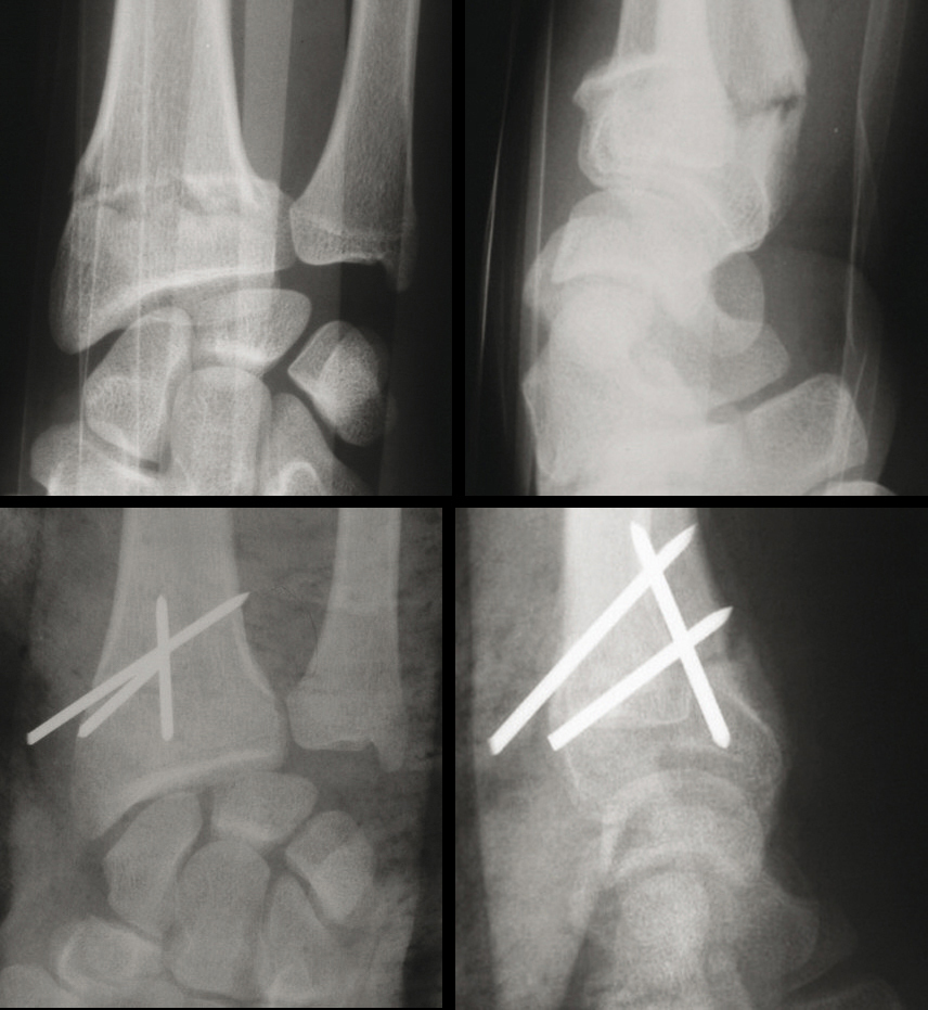
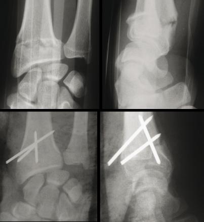
Fracture de Pouteau-Colles : fracture extra-articulaire à déplacement postérieur. (Haut, gauche) Radio de face. (Haut, droite) Radio de profil. Le traitement est parfois orthopédique mais le plus souvent réalisé par brochage percutané. (Bas, gauche) Radio de face. (Bas, droite) Radio de profil.