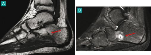
Fracture de fatigue du calcanéum sous forme d'une ligne fine en hyposignal sur les séquences T1 (A), et se rehaussant sur les séquences injectées (B). Voir : P. Journeau, E. Polirzstok, F. Launay, D. Barbier. Lésions osseuses de sollicitation excessive chez l’enfant sportif. Rev Prat 2015;65(8);1084-90.
Lire aussi
Article Web