Œdème des mains (Syndrome RS3PE paranéoplasique)
POLYARTERITE NOUEUSE
Image
Neuropathie optique
OEDEME
HEMORRAGIE
MALADIES DU SYSTEME NERVEUX
Image
Roséole syphilitique
SYPHILIS CUTANEE
Image
Papule piézogénique
DERMATOSES PAPULOSQUAMEUSES
Image
Alopécie androgénétique débutante
MALADIES DU SYSTEME PILEUX
PELADE
ALOPECIE
Image
Plaque de teigne
PELADE
TEIGNE
MYCOSES CUTANEES
MALADIES DU SYSTEME PILEUX
Image
Pelade de la barbe
PELADE
ALOPECIE
MALADIES DU SYSTEME PILEUX
Image
Pelade universelle
PELADE
ALOPECIE
MALADIES DU SYSTEME PILEUX
Image
Extrasystole ventriculaire bénigne
Troubles du rythme cardiaque
Electrocardiographie
Electrocardiogramme
Extrasystoles ventriculaires
Image
Extrasystoles ventriculaires
Troubles du rythme cardiaque
Electrocardiographie
Electrocardiogramme
Extrasystoles ventriculaires
Image
Extrasystole ventriculaire bénigne
Electrocardiogramme
Electrocardiographie
Extrasystoles ventriculaires
Image
Pemphigoïde bulleuse
Pemphigoide bulleuse
PRURIT
Image
Dermographisme lors d'une urticaire
URTICAIRE
PRURIT
Image
Sclérodermie localisée ou morphée en plaque
SCLERODERMIE
Image
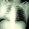
Pneumonie à pneumocoque
PNEUMONIE
Pneumopathie infectieuse
Image
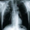
Pneumonie
PNEUMONIE
Pneumopathie infectieuse
Image
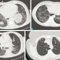
Aspergillose pulmonaire invasive
PNEUMONIE
Pneumopathie infectieuse
Aspergillose pulmonaire invasive
Image
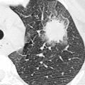
Pneumonie nécrosante
PNEUMONIE
Pneumopathie infectieuse
Image
Sclérodermie systémique
SCLERODERMIE SYSTEMIQUE
Image
Image
Image
Psoriasis unguéal
PSORIASIS
Image
Psoriasis pustuleux en plaques
PSORIASIS
Image
Psoriasis plantaire
PSORIASIS
Image
Psoriasis en plaque du coude
PSORIASIS
Image