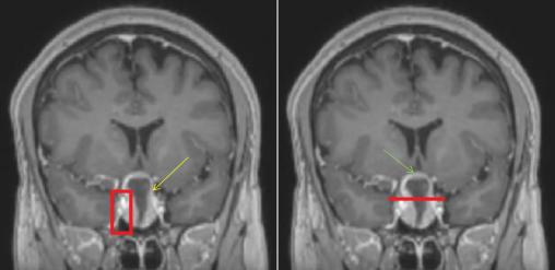
Coupe coronale d’une IRM cérébrale en séquence T1 avec injection de gadolinium. Les coupes T1 sont des coupes dites « anatomiques » c’est-à-dire que la substance blanche est blanche et la grise est grise contrairement à la séquence T2 où c’est l’inverse.

Sur l’image de gauche, on voit les sinus caverneux de part et d’autre de la fosse pituitaire avec les vaisseaux réhaussés par le gadolinium. La flèche jaune pointe la masse hétérogène (centre hyposignal, périphérie hypersignal, en lien avec l’apoplexie pituitaire qui correspond à une hémorragie au sein du macro-adénome hypophysaire).

Sur l’image de droite, la ligne rouge correspond à une limite approximative de la loge pituitaire que l’hypophyse ne devrait pas dépasser. La flèche verte pointe le chiasma optique comprimé par la masse.