Skip to main navigation
Header navigation
Newsletters
Librairie
Plus
Menu du compte de l'utilisateur
S'abonner
Bookmark page
Sous menu plus
larevuedupracticien
larevuedupracticien
La rédaction
La rédaction
Indépendance
Indépendance
DPC
DPC
JNMG
JNMG
Annonces
Annonces
E-suppléments
E-suppléments
La Revue du Praticien
Navigation principale
Actualités
Vient de paraître
Tests
Culture
Recherche
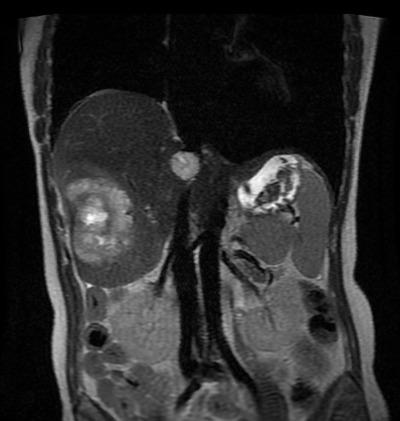
Métastases hépatiques (IRM)
Lire plus tard
Partager
Imprimer
Ce contenu est exclusivement réservé aux abonnés
Fil d'Ariane
Image
Métastases hépatiques (IRM)
Matthieu Roulleaux Dugage, La Revue du Praticien
2 masses hépatiques hétérogènes hypersignal T2.
Lire aussi
Exercice
Testez-vous sur l’item 290
Article
Tumeur villeuse rectale
Exercice
Image mystérieuse n°427
Article Web
Dépistage du cancer colorectal : quelles modalités en 2023 ?
Article
Dépistage du cancer colorectal : quelles modalités en 2023 ?
Article Web
Nitrites (charcuteries) : le gouvernement veut les réduire, mais non les interdire