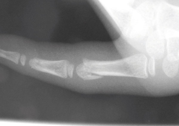
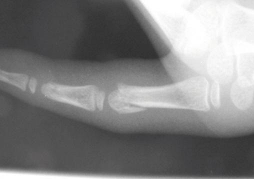
© Frank Fitoussi, La Revue du Praticien Fracture du col de la première phalange avec bascule dorsale. Voir : Fitoussi F. Particularités des traumatismes de la main de l'enfant. Rev Prat 2013;63:1253-7.