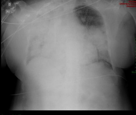
Étienne Crickx, La Revue du Praticien Radiographie thoracique F. Opacités alvéolaire périhilaires bilatérales prédominant à droite (hémorragie intra-alvéolaire).