Skip to main navigation
Header navigation
Newsletters
Librairie
Plus
Menu du compte de l'utilisateur
S'abonner
Bookmark page
Sous menu plus
larevuedupracticien
larevuedupracticien
La rédaction
La rédaction
Indépendance
Indépendance
DPC
DPC
JNMG
JNMG
Annonces
Annonces
E-suppléments
E-suppléments
La Revue du Praticien
Navigation principale
Actualités
Vient de paraître
Tests
Culture
Recherche
Tuberculose pulmonaire
Lire plus tard
Partager
Imprimer
Ce contenu est exclusivement réservé aux abonnés
Fil d'Ariane
Image
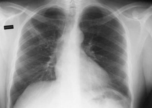
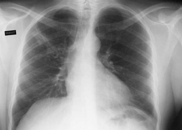
Tuberculose pulmonaire
La Revue du Praticien - Hélène Leroy
Radiographie thoracique. Infiltrat du sommet droit.
Lire aussi
Exercice
Image mystérieuse n°438
Exercice
Image mystérieuse n°428
Exercice
Image mystérieuse n°425
Exercice
Image mystérieuse n°410
Article
Tuberculose splénique
Article
Tuberculose de la paroi thoracique chez un patient immunocompétent