Skip to main navigation
Header navigation
Newsletters
Librairie
Plus
Sous menu plus
larevuedupracticien
larevuedupracticien
La rédaction
La rédaction
Indépendance
Indépendance
DPC
DPC
JNMG
JNMG
Annonces
Annonces
E-suppléments
E-suppléments
La Revue du Praticien
Navigation principale
Actualités
Vient de paraître
Tests
Culture
Recherche
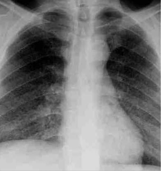
Tuberculose pulmonaire
Fil d'Ariane
Image
Tuberculose pulmonaire
La Revue du Praticien - Hélène Leroy
Radiographie thoracique. Miliaire tuberculeuse.
Lire aussi
Exercice
Image mystérieuse n°438
Exercice
Image mystérieuse n°428
Exercice
Image mystérieuse n°425
Exercice
Image mystérieuse n°410
Article
Tuberculose splénique
Article
Tuberculose de la paroi thoracique chez un patient immunocompétent