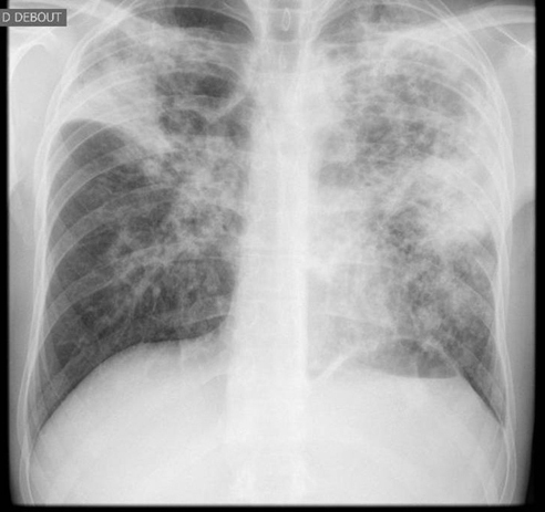
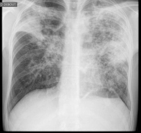
La Revue du Praticien - Hélène Leroy Radiographie thoracique. Lésions infiltratives bilatérales prédominant aux sommets, avec rétraction du sommet droit (déviation de la trachée).