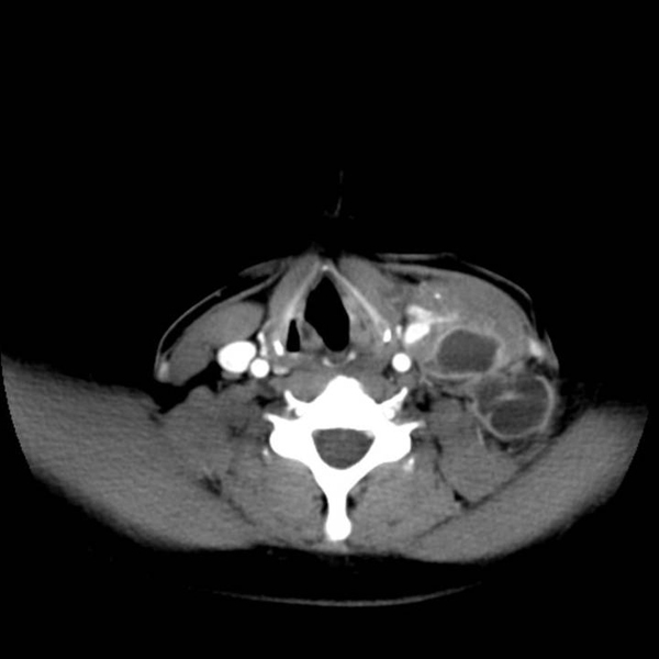
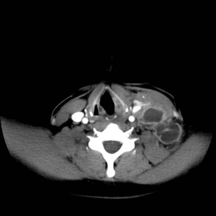
Tomodensitométrie cervicale révélant une masse latéro-cervicale gauche de 4 x 6 x 5 cm, à centre nécrotique.
Lire aussi
Exercice
Exercice
Exercice
Exercice
Article