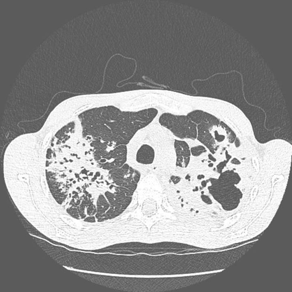
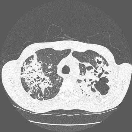
La Revue du Praticien - Hélène Leroy Volumineuses condensations alvéolaires des deux sommets avec multiples cavitations.