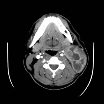
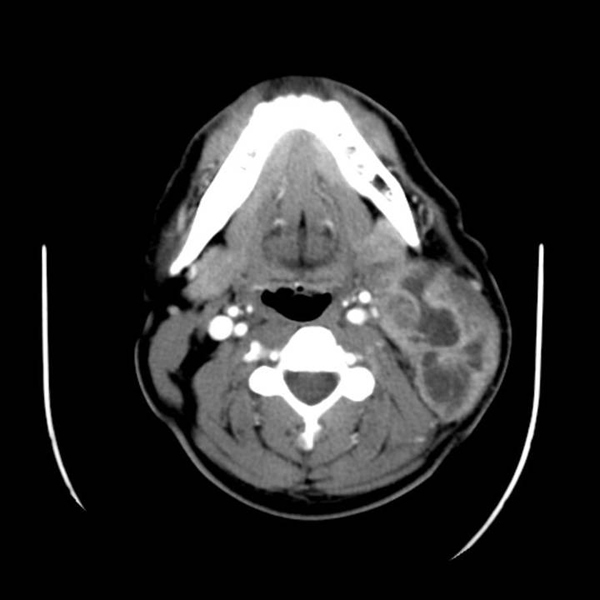
La Revue du Praticien - Hélène Leroy Masse latéro-cervicale gauche de 4 x 6 x 5 cm, à centre nécrotique.