Vous recevez en consultation une patiente âgée de 72 ans qui se plaint depuis plusieurs mois d’une déformation des objets et de lignes droites paraissant courbes, ainsi que d’une tache noire centrale au niveau de l’œil droit. À l’examen, l’acuité visuelle est de 8/10 P4 à droite, et de 10/10 P2 à gauche. Il existe un début d’opacification cristallinienne, le tonus oculaire est de 13/15, il n’y a pas d’hémorragie au fond d’œil mais des petits dépôts de matériel autour de la macula, dans les deux yeux. Vous décidez de réaliser un OCT maculaire.

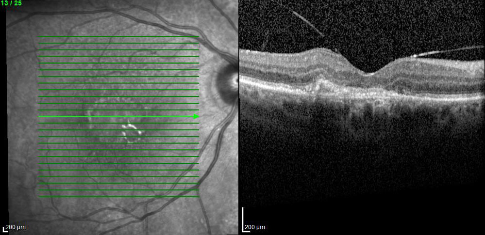
Figure 1 : OCT maculaire de l'œil droit (Source : Pr Michel Paques, La Revue du Praticien)
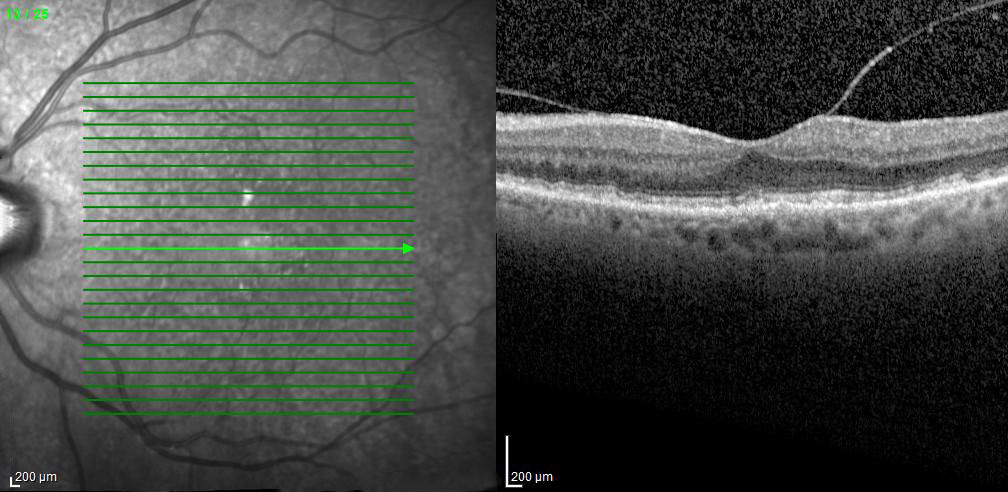
Figure 2 :  OCT maculaire de l'œil gauche (Source : Pr Michel Paques, La Revue du Praticien)
Question 1 Quels sont les signes cliniques décrits par la patiente ?
Métamorphospsies, scotome central.
Question 2 Décrivez l’OCT de l’œil droit. Quel est le diagnostic ? Précisez.
Néovaisseau choroïdien de type 1 non visible (sous l’épithélium pigmentaire), logettes d’exsudation intrarétinienne ; dégénérescence maculaire liée à l’âge exsudative de l’œil droit.
Question 3 À quoi correspondent les dépôts maculaires visibles au fond d’œil et sur l’OCT des deux yeux ?
Drusen maculaires.
Question 4 Quel est votre traitement ?
Injections d’anti-VEGF dans l’œil droit, mensuelles, en l’absence de contre-indication (AVC  3 mois).
Vous revoyez la patiente 4 semaines après le traitement. L’acuité visuelle est de 9/10, P3, et la patiente sent une amélioration.
Figure 3 : OCT maculaire de l'œil droit après traitement (Source : Pr Michel Paques, La Revue du Praticien)

La patiente vous demande quels sont les facteurs de risque de cette maladie.
Question 5 Que lui répondez-vous ?
Facteurs de risque : alimentation, yeux clairs, tabac, UV, génétique (polymorphisme du facteur H du complément), âge, hypertension artérielle, obésité, dyslipidémie.
Vous suivez et traitez la patiente durant plusieurs mois, qui décrit une vision floue dans les deux yeux mais pas de déformation d’objet. À l’examen, l’acuité visuelle de l’œil droit est de 7/10 P3 et de 7/10 P2 à gauche.
Figure 4 : Examen en lampe à fente du segment antérieur (Source : Pr Michel Paques, La Revue du Praticien)
Question 5 Quel est le diagnostic ?
Cataracte corticonucléaire.
Question 6 Que proposez-vous comme traitement ? Quels en sont les risques ?
Traitement chirurgical par phakoémulsification et implant de chambre postérieure.
Complications :
a) peropératoire : rupture capsulaire postérieure ;
b) postopératoire : œdème maculaire inflammatoire, décompensation de la DMLA, endophtalmie, décompensation de la cornée (œdème de cornée), opacification capsulaire postérieure (cataracte secondaire), décollement de rétine.
Retrouvez l’item lié à ce quiz ici : Vignal-Clermont C, Chotard G, Chassery M, et al. Item 81. Altération chronique de la vision.  Rev Prat 2022;72(2);217-25.

Exercez-vous aux ECN avec les dossiers progressifs et les LCA de La Revue du Praticien