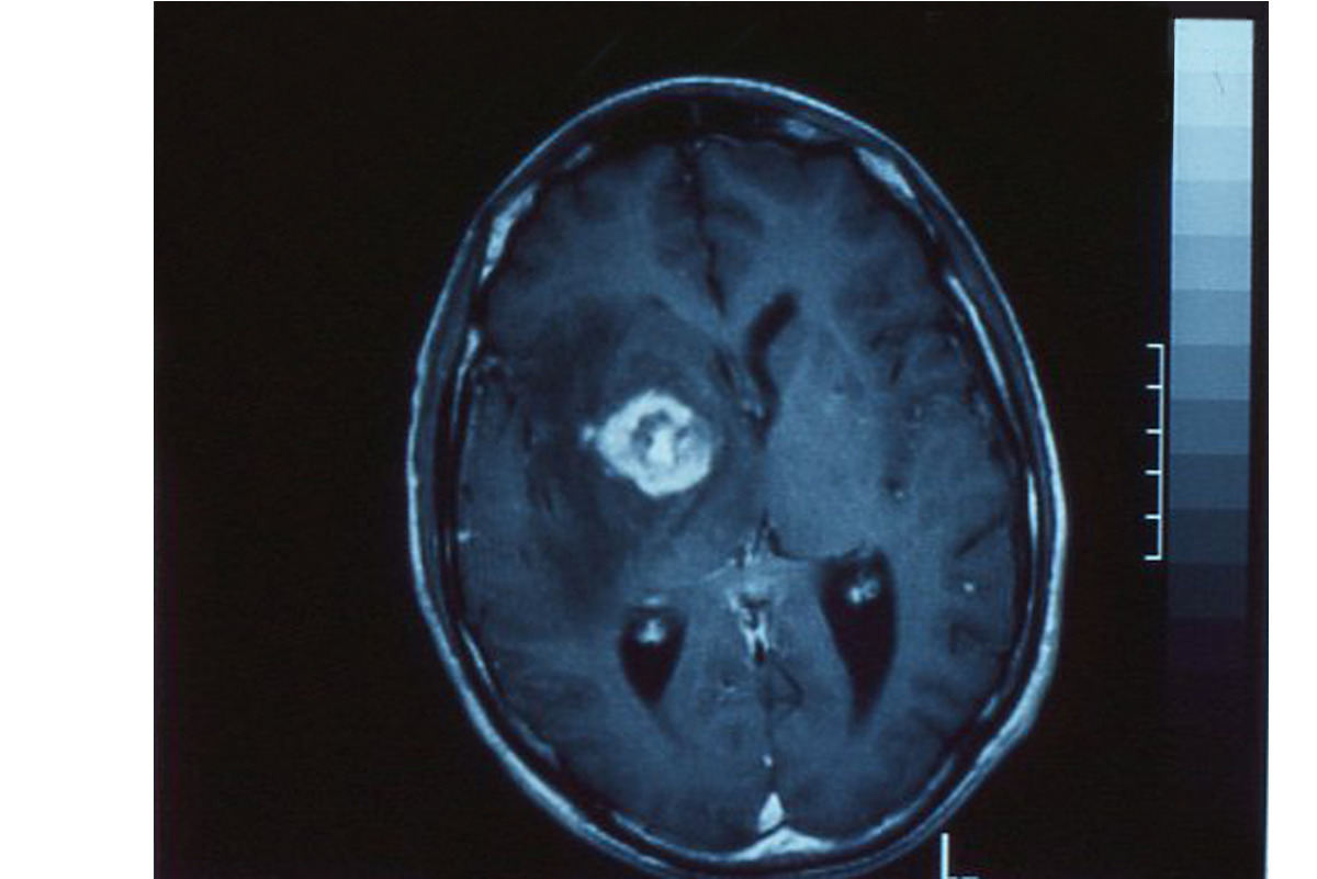
Il s’agit d’une toxoplasmose cérébrale chez un patient immunodéprimé (SIDA).
L’encéphalite toxoplasmique focalisée est la manifestation clinique la plus fréquente chez les malades immunodéprimés. Elle associe la fièvre à une symptomatologie neurologique très variée : céphalées, déficits moteurs ou sensitifs, comitialité, troubles psychiatriques. La tomodensitométrie ou l’imagerie par résonance magnétique (IRM) montrent habituellement un ou plusieurs abcès dont la périphérie prend fortement le produit de contraste. On peut également observer des encéphalites diffuses, sans image radiologique.
L’encéphalite toxoplasmique focalisée est la manifestation clinique la plus fréquente chez les malades immunodéprimés. Elle associe la fièvre à une symptomatologie neurologique très variée : céphalées, déficits moteurs ou sensitifs, comitialité, troubles psychiatriques. La tomodensitométrie ou l’imagerie par résonance magnétique (IRM) montrent habituellement un ou plusieurs abcès dont la périphérie prend fortement le produit de contraste. On peut également observer des encéphalites diffuses, sans image radiologique.