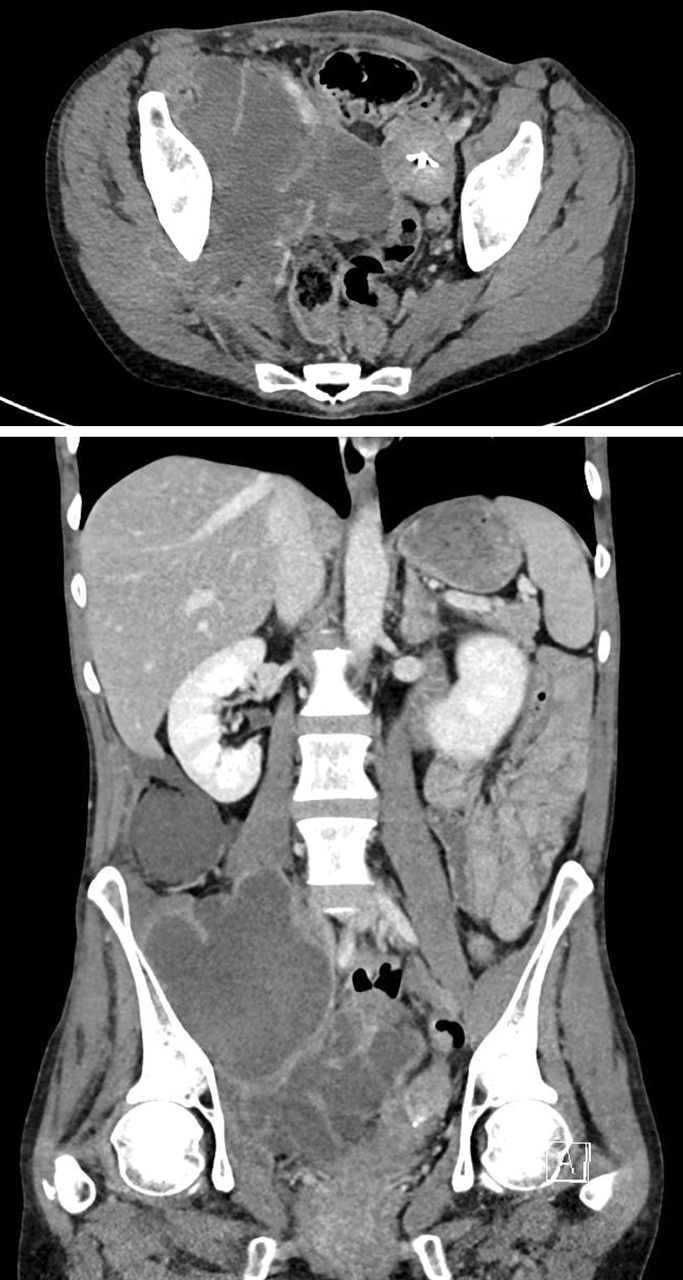
Une femme de 50 ans consulte pour des douleurs abdominopelviennes latéralisées à droite, évoluant depuis 15 jours.
Elle est fébrile (38,2 °C). Les leucocytes sont à 21 000/mm3 et la protéine C réactive à 400 mg/L. Un scanner est réalisé.
La patiente est porteuse d’un stérilet non changé depuis de nombreuses années.
Quel est votre diagnostic ?
Un drainage de l’abcès est réalisé sous scanner, permettant d’évacuer 700 cc de liquide purulent.
Les hémocultures identifient un Streptococcus constellatus et la ponction de l’abcès Parvimonas micra et Capnocytophaga ochracea, et de nombreuses colonies de Streptococcus constellatus.
L’analyse bactériologique du stérilet met en évidence de rares colonies d’Actinobaculum sp. et d’Actinomyces turicensis.
Un traitement par amoxicilline pendant 6 semaines permet d’obtenir la guérison.
Les hémocultures identifient un Streptococcus constellatus et la ponction de l’abcès Parvimonas micra et Capnocytophaga ochracea, et de nombreuses colonies de Streptococcus constellatus.
L’analyse bactériologique du stérilet met en évidence de rares colonies d’Actinobaculum sp. et d’Actinomyces turicensis.
Un traitement par amoxicilline pendant 6 semaines permet d’obtenir la guérison.