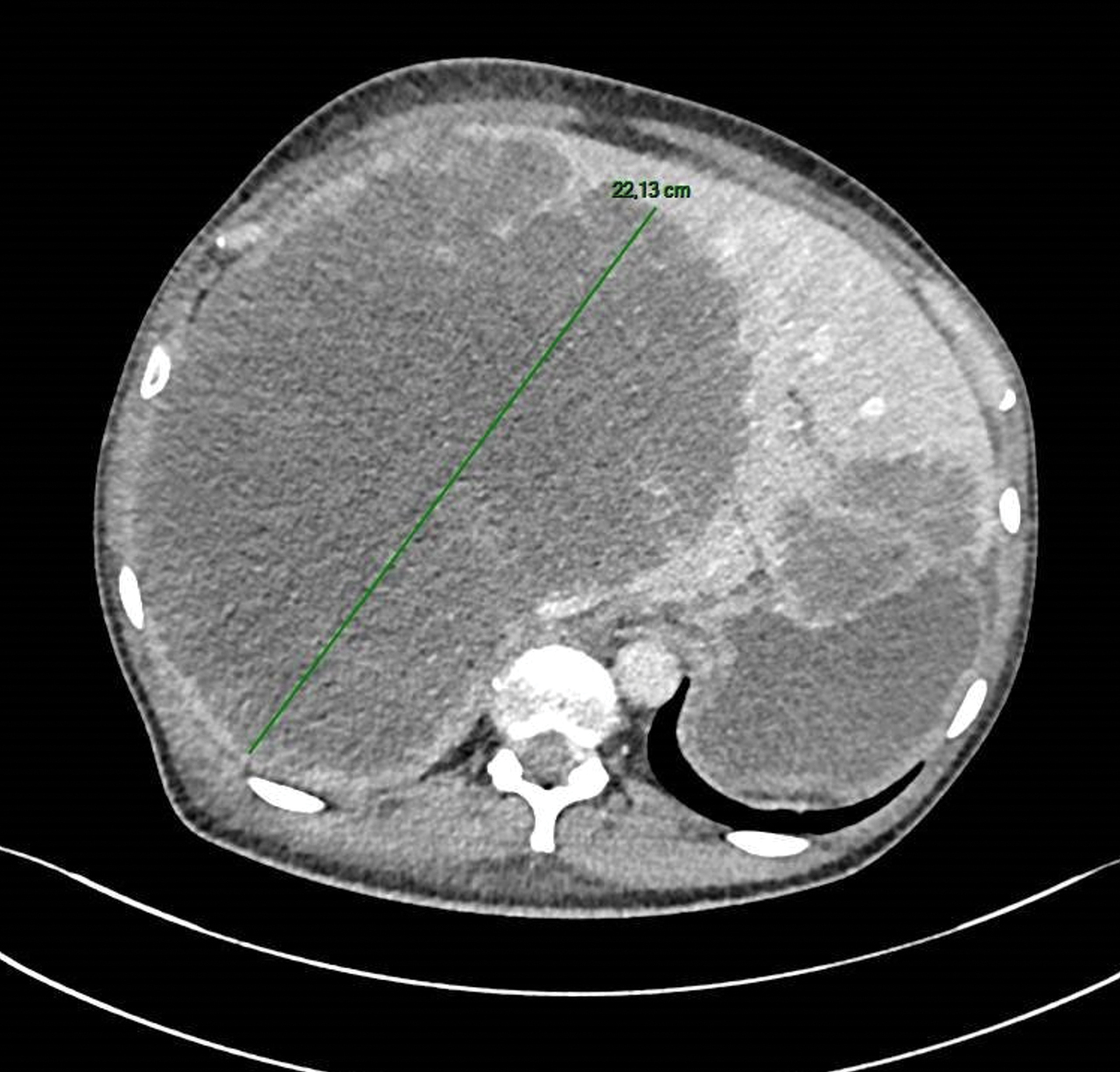
Un homme de 69 ans consulte pour des douleurs abdominales et une altération de l’état général.
Quel est votre diagnostic ?
La biopsie sous échographie met en évidence un adénocarcinome moyennement différencié d’origine colique.
Le bilan d’extension montre des lésions secondaires pulmonaires et rachidiennes avec compression de la racine L4.
Une chimiothérapie est débutée associée à une radiothérapie sur le rachis.
Le bilan d’extension montre des lésions secondaires pulmonaires et rachidiennes avec compression de la racine L4.
Une chimiothérapie est débutée associée à une radiothérapie sur le rachis.