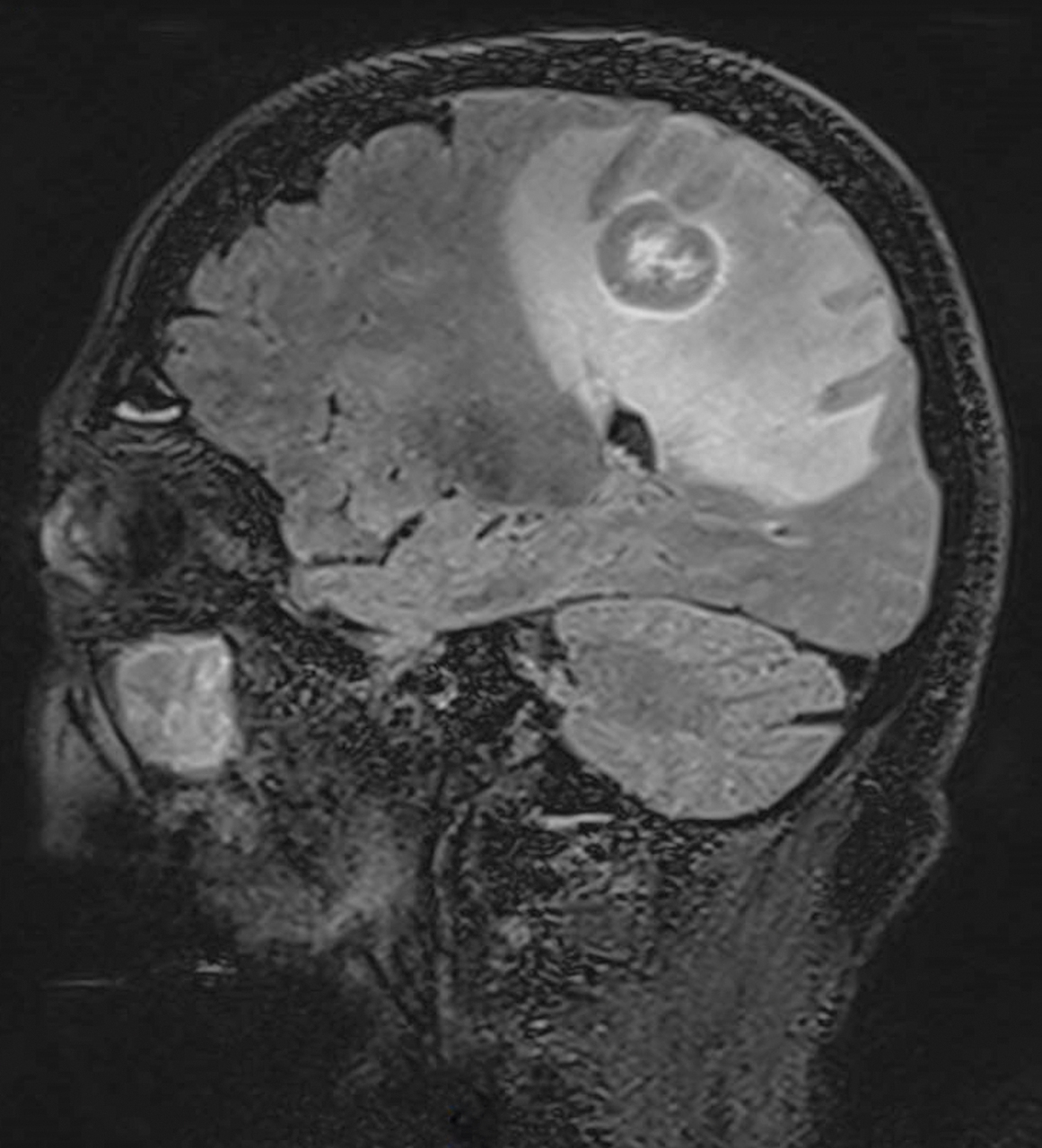
Un homme de 75 ans est hospitalisé pour une hémiparésie gauche. L’IRM cérébrale montre des lésions frontopariétales droites.
Quel est votre diagnostic ?

Un homme de 75 ans est hospitalisé pour une hémiparésie gauche. L’IRM cérébrale montre des lésions frontopariétales droites.
Quel est votre diagnostic ?

Exercez-vous aux ECN avec les dossiers progressifs et les LCA de La Revue du Praticien
Le lymphome primitif du système nerveux central (SNC) est un lymphome non hodgkinien de haut grade.
Il touche l’adulte entre 50 et 60 ans, immunodéprimé et immunocompétent.
Le traitement associe chimiothérapie et radiothérapie cérébrale.