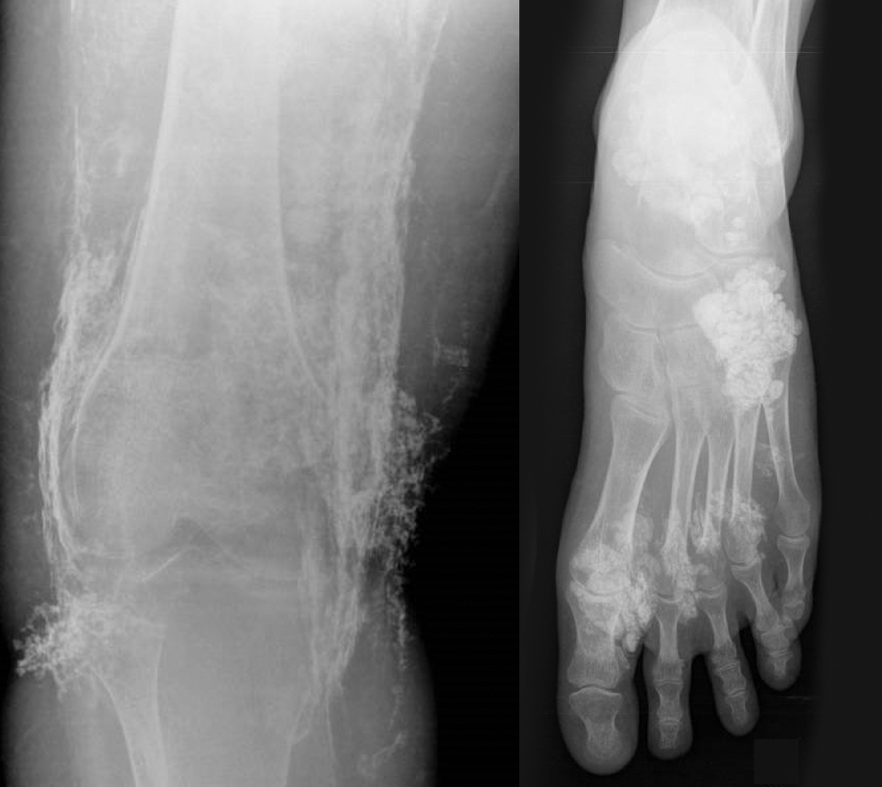
Une femme de 34 ans décrit des arthralgies, des myalgies et un déficit moteur proximal.
Quel est votre diagnostic ?

Une femme de 34 ans décrit des arthralgies, des myalgies et un déficit moteur proximal.
Quel est votre diagnostic ?

Exercez-vous aux ECN avec les dossiers progressifs et les LCA de La Revue du Praticien