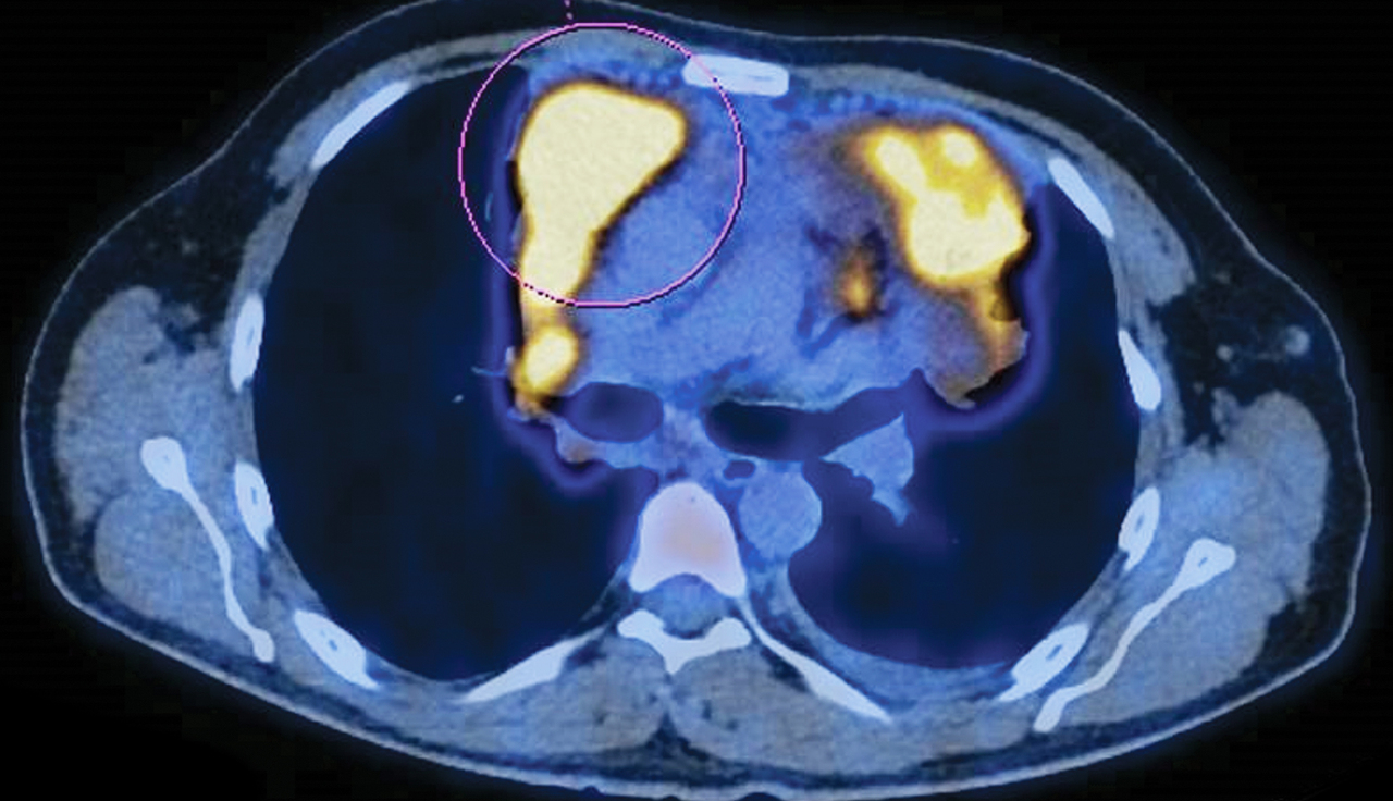
Un homme de 40 ans consulte pour des douleurs thoraciques, une fièvre, des sueurs et une altération de l’état général.
Quel est votre diagnostic ?

Un homme de 40 ans consulte pour des douleurs thoraciques, une fièvre, des sueurs et une altération de l’état général.
Quel est votre diagnostic ?

Exercez-vous aux ECN avec les dossiers progressifs et les LCA de La Revue du Praticien