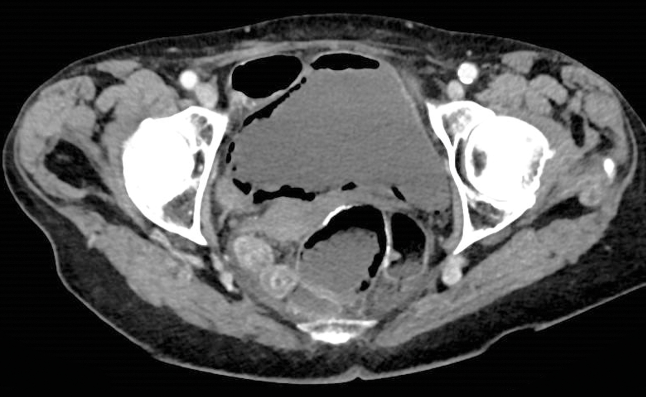
Une femme de 89 ans est hospitalisée pour une fièvre et des douleurs abdominales.
Quel est votre diagnostic ?

Une femme de 89 ans est hospitalisée pour une fièvre et des douleurs abdominales.
Quel est votre diagnostic ?

Exercez-vous aux ECN avec les dossiers progressifs et les LCA de La Revue du Praticien