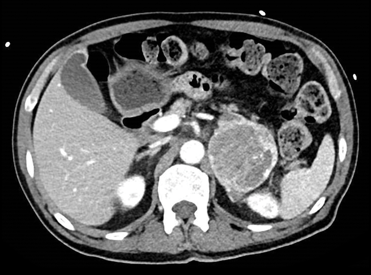
Un homme de 57 ans, diabétique de type 2, est hospitalisé pour des douleurs lombaires et un amaigrissement.
Sa pression artérielle est à 160/80 mmHg et son pouls à 110/mn.
Quel est votre diagnostic ?

Un homme de 57 ans, diabétique de type 2, est hospitalisé pour des douleurs lombaires et un amaigrissement.
Sa pression artérielle est à 160/80 mmHg et son pouls à 110/mn.
Quel est votre diagnostic ?

Exercez-vous aux ECN avec les dossiers progressifs et les LCA de La Revue du Praticien