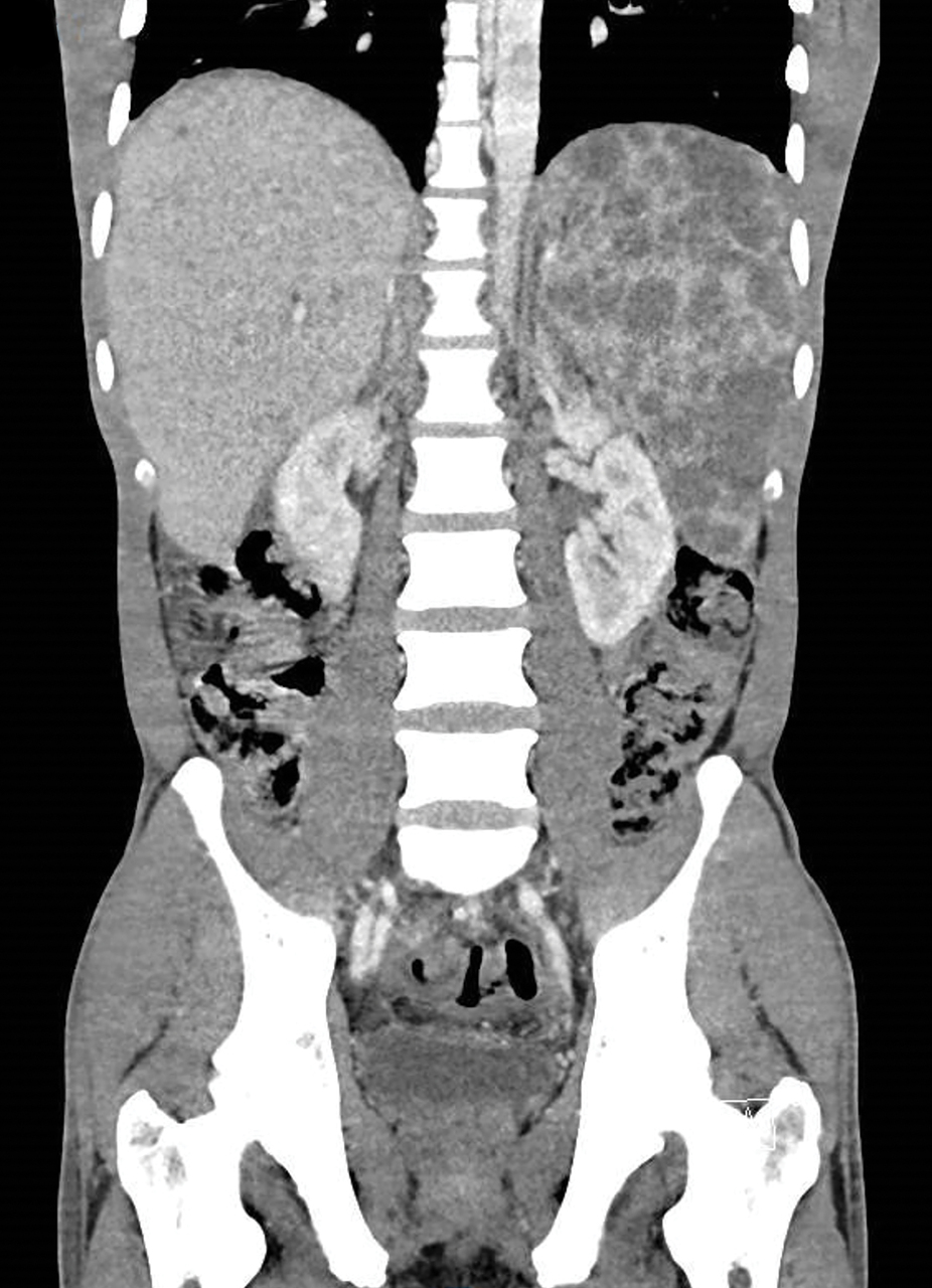
Homme de 34 ans consultant pour des douleurs abdominales, un amaigrissement de 10 kg, une fièvre à 39°C et une CRP de 69 mg/L.
Quel est votre diagnostic ?



Exercez-vous aux ECN avec les dossiers progressifs et les LCA de La Revue du Praticien