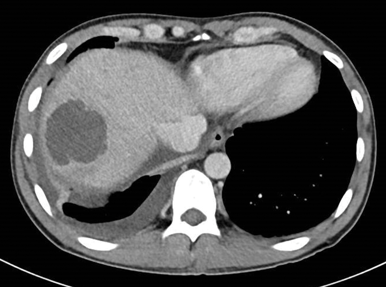
Homme de 35 ans, sans antécédents, ayant des diarrhées depuis 2 mois et n’ayant pas voyagé récemment. Le scanner montre une rectite, une thrombose porte, et une lésion hépatique.
Quel est votre diagnostic ?

Homme de 35 ans, sans antécédents, ayant des diarrhées depuis 2 mois et n’ayant pas voyagé récemment. Le scanner montre une rectite, une thrombose porte, et une lésion hépatique.
Quel est votre diagnostic ?

Exercez-vous aux ECN avec les dossiers progressifs et les LCA de La Revue du Praticien