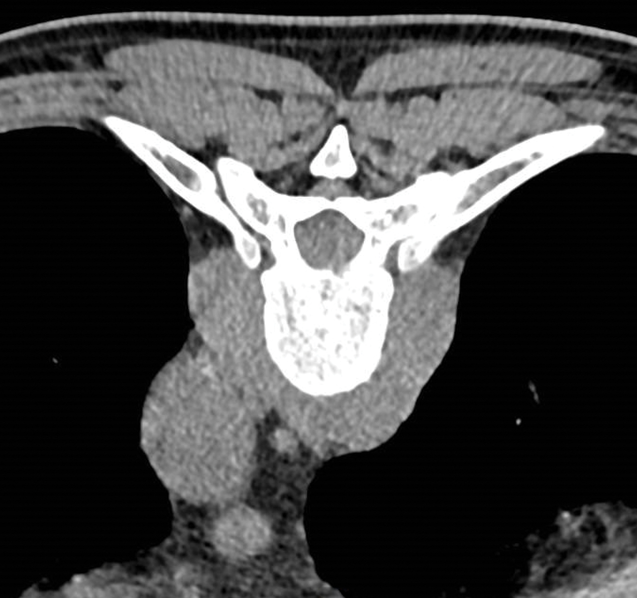
Homme de 74 ans, suivi pour une leucémie lymphoïde chronique, se plaignant de dorsalgies. Le scanner montre une masse paravertébrale de T9.
Quel est votre diagnostic

Homme de 74 ans, suivi pour une leucémie lymphoïde chronique, se plaignant de dorsalgies. Le scanner montre une masse paravertébrale de T9.
Quel est votre diagnostic

Exercez-vous aux ECN avec les dossiers progressifs et les LCA de La Revue du Praticien