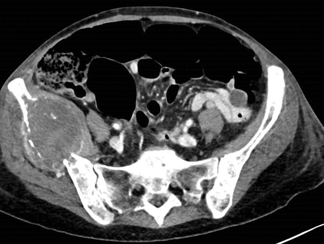
Femme 72 ans, tabagique sevrée consultant pour des douleurs du bassin depuis 1 mois, avec altération de son état général.
Quel est votre diagnostic ?

Femme 72 ans, tabagique sevrée consultant pour des douleurs du bassin depuis 1 mois, avec altération de son état général.
Quel est votre diagnostic ?

Exercez-vous aux ECN avec les dossiers progressifs et les LCA de La Revue du Praticien